Snel van uw pijn af? Binnen 1 week een afspraak bij onze orthopedisch specialisten op 10 locaties.

Orthozorg (v/h Echozorg) Specialist in Orthopedie
Afspraak Binnen één Week bij 10 Locaties

Orthozorg (voorheen Echozorg)
  • Home
  • Aandoeningen
    • Schouder
      • Slijmbeursontsteking schouder
      • Frozen Shoulder
      • Tendinitis calcarea
      • Peesontsteking schouder
      • Artrose schouder
      • Cuff ruptuur
      • Artrose AC gewricht
      • Biceps Tendinitis
    • Elleboog
      • Tennisarm
      • Golferselleboog
      • Slijmbeurs-ontsteking elleboog
    • Pols en hand
      • Quervain
      • Triggervinger
      • Artrose duim
      • Ganglion pols
    • Heup
      • Slijmbeurs-ontsteking heup
    • Knie
      • Artrose knie
      • Jumpers knee
      • Osgood Schlatter
    • Voet en enkel
      • Achillespees ontsteking
      • Hielspoor
      • Mortons neuroom
      • Peesplaatontsteking
  • Behandelingen
    • Echografie
    • Echogeleide injectie
    • Cortisone injectie
    • Hyaluronzuur injectie
    • ACP injectie
    • Barbotage
    • Shockwave therapie
  • Over ons
    • Meest gestelde vragen
    • Vestigingen
    • Tarieven en vergoedingen
    • Rekening
    • Verwijzers
    • Reviews
    • Geef een review
    • Klachten en privacy
  • Contact
  • Menu Menu

Tendinitis calcarea

Anatomische illustratie van een kalkafzetting in de supraspinatuspees van de schouder, zichtbaar als witte vlekken in het peesweefsel onder het schouderdak

Herkent u deze klachten?

  • Pijnscheuten bij onverwachte bewegingen
  • Moeite met het heffen van de arm
  • Wakker worden met schouderpijn

Grote kans dat u last heeft van een tendinitis calcarea (kalk in de schouder).

Geen zicht op herstel? Maak een afspraak met Echozorg!

Bel nuContact
Bel nuContact
  • Wat is het?
  • Diagnose en onderzoek
  • Behandeling
  • Cortisone injectie
  • Barbotage
  • Operatie
  • Contact

Een kalkafzetting in een schouderpees (tendinitis calcarea) is een veelvoorkomende oorzaak van schouderpijn.

Bij ongeveer een kwart van alle patiënten met schouderklachten wordt met echografie of röntgen kalk in de schouder gevonden.

Kleine kalkafzettingen hoeven geen klachten te geven. Maar als de kalk groeit of het lichaam begint de kalk af te breken, kan de pijn hevig zijn.

Bij beginnende klachten helpen rust, paracetamol en ontstekingsremmers. Een behandeling begint gewoonlijk met shockwave bij de fysiotherapeut.

Heeft u dit al geprobeerd? Maar houdt u klachten?

Dan is het verstandig om uw schouder te laten onderzoeken. Kalkafzettingen kunnen hardnekkige schouderklachten veroorzaken. Maar de pijn is goed te behandelen — met een cortisone-injectie of een barbotage.

Welke behandeling zinvol is hangt af van de grootte en de fase van de kalkafzetting. De juiste behandeling begint bij de juiste diagnose.

Eerst zien, dan behandelen

Dat is het motto van Orthozorg, een polikliniek voor orthopedie. We zijn gespecialiseerd in het onderzoeken en behandelen van schouderklachten. Sinds 2012.

U wordt bij Orthozorg altijd gelijktijdig onderzocht door een orthopeed én echografist. Vaak kunnen we u al tijdens het eerste consult behandelen met een echogeleide injectie of barbotage. U heeft snel minder pijn.

Op deze pagina leggen we u uit wat tendinitis calcarea is, hoe we de juiste diagnose stellen en welke behandelingen mogelijk zijn — van een cortisone-injectie tot een barbotage of operatie.

Maak een afspraak bij Orthozorg

Binnen één week geholpen. Op verwijzing van uw huisarts.

Vergoed vanuit de basisverzekering. Geen eigen bijdrage, wel eigen risico.

Bel nuContact
Bel nuContact

Tendinitis calcarea (kalkafzetting schouder) in het kort:

  • Kalk in een schouderpees, meestal de supraspinatuspees. Komt voor bij 25% van de schouderklachten
  • Vooral tussen 35 en 55 jaar, vrouwen 1,5x vaker
  • Bij 30% lost de kalk vanzelf op — maar dat kan 5 tot 10 jaar duren
  • Behandeling: cortisone-injectie (remt pijn) of barbotage (verwijdert de kalk, 70% succes)
  • Echo is het beste onderzoek — op een MRI is kalk juist slecht zichtbaar
  • Bij Orthozorg: diagnose én behandeling in 1 consult, binnen 1 week

Orthozorg - Eerst zien, dan behandelen

“Eerst zien, dan behandelen.” Dat is het motto van Orthozorg.

Orthozorg is een orthopedische polikliniek met 10 vestigingen in Nederland. Sinds 2012 behandelen we jaarlijks 5.000 patiënten met schouder-, elleboog-, knie- en voetklachten.

Wat ons onderscheidt: u wordt altijd onderzocht door een orthopeed én een echografist, tijdens hetzelfde consult. Geen doorverwijzing, geen wachten op een apart onderzoek. We stellen de diagnose en behandelen vaak op dezelfde dag.

Dat kunnen we omdat we de beeldvorming zoveel mogelijk in eigen hand hebben. Op de echo, de röntgenfoto of de MRI. Want wij hebben de patiënt onderzocht.

Orthozorg heette vroeger Echozorg. Opgericht door echografist Robert de Zoete, begonnen met één echo op de Hoornse Geldelozeweg.

Inmiddels hebben we alle orthopedische beeldvorming in huis, inclusief een eigen mobiele MRI-, röntgen- en echobus.

De Orthozorg Mobiele Eenheid: een eigen bus uitgerust met MRI, röntgen en echografie voor orthopedisch onderzoek op locatie

De naam veranderde. Ons hart voor echografie niet. We zeggen het nog steeds dagelijks tegen onze patiënten: Eerst Een Echo.

Deze pagina is geschreven door Pieter Schillemans (orthopedisch chirurg NP) & Robert de Zoete (echografist). Medisch eindverantwoordelijke: Ans Derks (medisch directeur ia). Laatste update: maart 2026.

Wat is tendinitis calcarea

Bij tendinitis calcarea stapelen kalkkristallen zich op in een schouderpees.

Meestal in de supraspinatuspees, de pees die het meest kwetsbaar is voor overbelasting en kalkafzettingen.

tendinitis-calcarea

Zolang de kalk klein is, merkt u er weinig van. Groeit de afzetting, dan neemt hij ruimte in onder het schouderdak.

Patiënten ervaren vaak een klikkend gevoel bij het heffen van de arm. De pijn is vaak ’s nachts aanwezig.

Het meest pijnlijke moment is vaak de oplossingsfase: het lichaam breekt de kalk af en het vloeibare kalk kan doorbreken in de slijmbeurs. Dat geeft extreme pijn die binnen uren ontstaat.

💡 Veelvoorkomend misverstand: Een kalkafzetting in de schouder heeft niets te maken met aderverkalking, artrose of te veel kalk in de voeding.

Hoe ontstaat kalk in een schouderpees?

De exacte oorzaak is niet volledig bekend. De meest geaccepteerde theorie: peescellen maken een weeffout en veranderen in kraakbeencellen die kalk produceren.

Dit gebeurt in de zogenaamde critical zone van de pees, het stuk met de slechtste doorbloeding.

Dat is ongeveer 1,5 tot 2 centimeter van de aanhechting op de schouderkop. Door zuurstoftekort in dit gebied raken peescellen ontregeld.

Het bijzondere: tendinitis calcarea is geen eenrichtingsverkeer.

Het lichaam maakt de kalk aan, maar ruimt het vaak ook weer op. Het verloopt in fasen:

Fase 1: vorming

Peescellen veranderen in kraakbeencellen. Er vormen zich kalkkristallen in de pees. U merkt hier meestal niets van.

Fase 2: de kalk groeit

De kristallen klonteren samen tot kalkhaarden. Dit kan maanden tot jaren duren. Wordt de afzetting groter, dan neemt hij ruimte in onder het schouderdak. U merkt een klikkend gevoel, nachtpijn, en pijn bij het heffen van de arm.

Fase 3: het lichaam ruimt op

Op een gegeven moment grijpt het lichaam in. Afweercellen maken de kalk vloeibaar. De druk in de pees stijgt. Soms breekt het vloeibare kalk door in de slijmbeurs. Dit is het moment van extreme, acute pijn die binnen uren ontstaat.

Het goede nieuws: deze fase betekent dat het lichaam de kalk afbreekt. Na deze pijnlijke episode verbetert de situatie vaak.

Fase 4: herstel

Zodra de kalk is opgeruimd, herstelt de pees zich volledig. In tegenstelling tot gewone peesslijtage kan de pees na tendinitis calcarea weer helemaal gezond worden.

Risicofactoren

Niet iedereen krijgt kalk in de schouder. Deze factoren verhogen de kans:

  • Leeftijd: vooral 35-55 jaar, zeldzaam boven de 70
  • Geslacht: vrouwen anderhalf tot twee keer vaker dan mannen
  • Erfelijkheid: kalk komt voor in families
  • Beroep: langdurig werken met de arm in dezelfde houding (bureauwerk, productiewerk)
  • Diabetes en schildklierprobleem: komen vaker voor bij patiënten met kalk
  • Beide schouders: bij 10-25% zit er kalk in beide schouders
💡 Veelvoorkomend misverstand: tendinitis calcarea heeft niets te maken met aderverkalking, artrose, botontkalking of te veel kalk in de voeding. Ook zwaar tillen of bovenhandse sport verhoogt het risico niet.

Symptomen van een kalkafzetting schouder

Pijn bij het heffen van de arm en nachtelijke pijn zijn de meest kenmerkende klachten.

De pijn zit vaak aan de voorkant van de schouder en kan uitstralen naar de bovenarm.

Veelvoorkomende klachten:

  • Pijn bij tillen, reiken of bovenhandse bewegingen
  • Een klikkend gevoel bij het heffen van de arm
  • Niet op de pijnlijke schouder kunnen slapen
  • Pijnscheuten bij onverwachte bewegingen
  • Krachtverlies in de arm

De intensiteit verschilt. Van een zeurende, chronische pijn als de kalk langzaam groeit, tot extreme pijn als de kalk oplost en in de slijmbeurs lekt.

In dat laatste geval kan elke beweging onmogelijk worden.

Hoelang duurt een kalkafzetting in de schouder?

Dat verschilt enorm. Van enkele maanden tot jaren.

Het natuurlijke verloop van tendinitis calcarea is traag. De kalk kan jarenlang aanwezig zijn, en het volledige proces van vorming tot opruiming duurt soms 5 tot 10 jaar.

Bij ongeveer 30% van de patiënten lost de kalk vanzelf op. Bij de rest blijft de kalk zitten.

Maar: kalk in de schouder betekent niet automatisch klachten. Regelmatig onderzoeken we de andere schouder ter vergelijking en vinden we kalkafzettingen waar de patiënt helemaal geen last van heeft. Niet elke kalkafzetting hoeft dus behandeld te worden.

Wat beïnvloedt het verloop?

  • De grootte: grotere afzettingen geven meer klachten
  • De fase: de oplossingsfase is het pijnlijkst maar betekent ook dat het lichaam opruimt
  • De locatie: kalk dicht bij de slijmbeurs geeft eerder klachten
  • Uw belasting: bovenhandse activiteiten verergeren de klachten
💡 Wilt u niet jaren wachten? Met een barbotage verwijderen we de kalk. Succespercentage: ongeveer 70%.

Diagnose en onderzoek

Zonder beeldvorming is de diagnose tendinitis calcarea niet zo makkelijk te stellen.

Bij lichamelijk onderzoek lijken de klachten sterk op een peesontsteking of slijmbeursontsteking.

Met echografie of röntgen wordt het vaak snel duidelijk. Kalkafzettingen zijn goed zichtbaar.

Echografisch onderzoek bij tendinitis calcarea: de echokop op de schouder om de kalkafzetting in de supraspinatuspees in beeld te brengen

Met echografie zien we of de kalk hard of zacht is, of de slijmbeurs mee ontstoken is, en of de pezen beschadigd zijn.

Bij Orthozorg maken we soms een röntgenfoto voor de totale omvang van de verkalking en de botstructuur van de schouder.

Veel patiënten lopen al jaren met schouderklachten rond voordat duidelijk wordt dat kalk de oorzaak is.

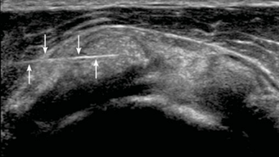
Wat zien we op een echo bij kalk in de schouder?

Een kalkafzetting is op echo direct zichtbaar. Het is een van de diagnoses die we het snelst kunnen stellen.

Kalk verschijnt op de echo als een heldere witte vlek in de pees, vaak met een donkere schaduw erachter. Die schaduw vertelt ons iets belangrijks: hoe sterker de schaduw, hoe harder de kalk.

Echografisch beeld van een kalkafzetting in de schouderpees: witte heldere vlek met donkere schaduw, kenmerkend voor harde kalk bij tendinitis calcarea

Hard of zacht kalk

Dit onderscheid is cruciaal voor de behandeling:

  • Harde kalk (sterke schaduw, scherpe randen): de kalk zit in de rustfase. Stevig ingekapseld in de pees. Een barbotage is lastiger maar mogelijk.
  • Zachte kalk (vage of geen schaduw, wolkige randen): de kalk is in de oplossingsfase. Het lichaam is bezig met opruimen. Dit is vaak het pijnlijkste moment, maar de kalk is goed weg te spoelen met een barbotage.

Wat zien we nog meer?

Tijdens hetzelfde onderzoek beoordelen we ook:

  • Is de slijmbeurs mee ontstoken? Vocht in de slijmbeurs wijst op irritatie door de kalk.
  • Zijn de pezen beschadigd? Bij circa 25% van de patiënten met kalk is er ook een peesscheur.
  • Wordt de kalk ingeklemd? We vragen u de arm te bewegen terwijl we meekijken. Zo zien we of de kalk klem komt te zitten onder het schouderdak en of dat uw pijn veroorzaakt.
💡 Belangrijk: Op een MRI is kalk juist slecht te zien. Kalk verschijnt als een zwart gat op MRI-beelden en wordt regelmatig gemist of verward met een peesscheur. Echo is bij tendinitis calcarea het beste onderzoek.

Wanneer een röntgenfoto?

Een röntgenfoto toont de totale omvang van de verkalking en de botstructuur van de schouder.

Op röntgen is kalk goed zichtbaar als een witte vlek boven de schouderkop. We zien de grootte, de locatie en de vorm. De vorm vertelt ons in welke fase de kalk zich bevindt: scherp begrensd en dicht (rustfase) of vaag en wolkig (oplossingsfase).

handelingen boven de schouders doen pijn? pijn bij het aan- en uittrekken van een jas?

Daarnaast toont een röntgenfoto of er sprake is van een vernauwing onder het schouderdak of artrose.

De beperking van röntgen

In de oplossingsfase – vaak het meest pijnlijke moment – kan de kalk op röntgen nauwelijks zichtbaar zijn. De kalk is dan zo zacht geworden dat het op de foto bijna verdwijnt. Op echo zien we het dan nog wél.

Wanneer is een MRI nodig?

Bij een kalkafzetting is een MRI zelden nodig. Echo en röntgen geven bij tendinitis calcarea meer informatie dan een MRI.

Kalk is op MRI juist slecht zichtbaar. Het verschijnt als een zwarte vlek die makkelijk te missen is of verward kan worden met een peesscheur.

We vragen een MRI alleen aan als:

  • Er vermoeden is van een peesscheur die mogelijk geopereerd moet worden
  • De klachten onduidelijk blijven ondanks echo en röntgen
  • Er een ongebruikelijk beeld is dat andere oorzaken moet uitsluiten
💡 Korte lijnen: Blijkt uit het onderzoek dat een MRI of operatie nodig is? Dan kunt u snel terecht bij onze collega Maarten de Vos, gespecialiseerd in schouderchirurgie.

Twijfelt u over de juiste diagnose?

Orthozorg is een polikliniek voor orthopedie, gespecialiseerd in het onderzoeken van schouderklachten.

Maak een afspraak — u wordt binnen één week onderzocht.

U heeft snel duidelijkheid.

Bel nuContact
Bel nuContact

Behandeling tendinitis calcarea

Veel patiënten vragen: “Wat is de beste behandeling voor mijn kalkafzetting?”

Dat hangt af van uw klachten, de grootte van de afzetting, het soort kalk, de fase en uw wensen.

Is de pijn mild? Dan is afwachten de beste optie. Met pijnstillers en fysiotherapie kunt u de klachten beheersbaar houden. Bij 30% lost de kalk vanzelf op.

Is de pijn hevig of houdt deze lang aan? Dan zijn er gerichte behandelingen:

  • Cortisone-injectie: remt de ontsteking in de slijmbeurs, vermindert snel de pijn. Verwijdert de kalk niet.
  • Barbotage: behandeling waarbij we de kalk echogeleid wegspoelen. Succespercentage 50-70%.
  • Operatie: kijkoperatie om de kalk te verwijderen. Alleen als alle andere behandelingen onvoldoende helpen.

Cortisone-injectie bij tendinitis calcarea

Een cortisone-injectie verwijdert de kalk niet, maar vermindert wel snel de pijn.

Het cortison remt de ontsteking in de slijmbeurs die door de kalk geïrriteerd is.

De meeste patiënten ervaren binnen enkele dagen minder pijn. Het effect houdt enkele weken tot maanden aan.

Echogeleide cortisone-injectie bij tendinitis calcarea: de naald wordt onder echogeleiding in de slijmbeurs geplaatst ter hoogte van de kalkafzetting in de schouderpees

Komen de klachten terug? Dan kunnen we de injectie herhalen. Blijft de pijn terugkeren, dan is een barbotage de volgende stap, die pakt de oorzaak aan.

Bij Orthozorg voeren we cortisone-injecties altijd echogeleid uit. Precies in de slijmbeurs, niet in de pees.

Waarom injecteren we in de slijmbeurs en niet in de kalk?

Het cortison gaat in de slijmbeurs, niet in de kalk of de pees. Daar zijn twee goede redenen voor.

Waarom de slijmbeurs en niet de kalk?

De slijmbeurs ligt als een beschermend vliesje over de schouderpezen waarin de kalk zit. Bij tendinitis calcarea is de slijmbeurs bijna altijd mee ontstoken.

De kalk drukt ertegen, irriteert het weefsel en veroorzaakt zwelling. De slijmbeurs is rijk aan zenuwen en daardoor vaak de belangrijkste bron van pijn.

Het cortison remt die ontsteking precies waar de pijn vandaan komt. Daarnaast willen we voorkomen dat cortisone in de pees terechtkomt, want dat kan peesweefsel verzwakken.

Daarom injecteren we bij Orthozorg altijd echogeleid. We volgen de naald op het scherm en zorgen dat het medicijn in de slijmbeurs terechtkomt, niet in de pees.

Bij kalk die doorgebroken is in de slijmbeurs helpt een cortisone-injectie vaak goed tegen de hevige pijn.

Vertraagt cortisone het opruimproces?

Dat is een terechte vraag. Cortisone remt ontsteking, en die ontsteking is juist het mechanisme waarmee het lichaam de kalk opruimt.

In theorie zou cortisone het natuurlijke opruimproces kunnen vertragen. In de praktijk zien we dat het effect op de kalkresorptie beperkt is. De pijnverlichting weegt voor de meeste patiënten zwaarder.

Maar het is wel een reden om cortisone niet onbeperkt te herhalen. Blijft de kalk klachten geven, dan is een barbotage een betere volgende stap.

Barbotage bij tendinitis calcarea

Een barbotage is een behandeling waarbij we de kalk uit de pees wegspoelen.

De behandeling duurt ongeveer 10 minuten. Met een naald prikken we de kalkafzetting aan onder echogeleiding, spoelen de kalk weg en zuigen het op.

Schematische illustratie van een barbotage bij tendinitis calcarea: twee naalden worden onder echogeleiding in de kalkafzetting in de schouderpees gebracht om de kalk weg te spoelen en op te zuigen

Niet elke kalkafzetting is geschikt. Op de echo beoordelen we vooraf welk type kalk u heeft en of een barbotage kans van slagen heeft. Het succespercentage ligt rond de 50-70%.

Lees alles over de behandeling op onze barbotage-pagina.

Hoe werkt een barbotage en voor wie is het geschikt?

Het succes van een barbotage hangt grotendeels af van het type kalk.

Drie typen kalk, drie scenario’s

  • Compacte, zachte kalk (oplossingsfase): spoelt het makkelijkst weg. Het lichaam is al bezig met afbreken, de barbotage helpt een handje.
  • Harde, ingekapselde kalk (rustfase): lastiger. De naald moet de kalk eerst kapotprikken voordat het wegspoelt. Kan meerdere pogingen vragen.
  • Diffuus verspreide kalk: kleine kalkdeeltjes verspreid door de hele pees. Niet geschikt voor barbotage – er is geen compacte haard om aan te prikken.

Voor wie is barbotage geschikt?

  • Klachten langer dan 3-6 maanden
  • Cortisone-injecties helpen onvoldoende of de pijn keert steeds terug
  • Kalkafzetting groot genoeg om aan te prikken (vanaf circa 5 mm)
  • Geen diffuus verspreide kalk door de pees

Na de behandeling

Reken op napijn de eerste dagen. Dat is normaal – vrijgekomen kalkdeeltjes irriteren de slijmbeurs. Na 6 weken maken we een controle-echo om te beoordelen of de kalk voldoende is verminderd.

Bij 50-70% van de patiënten is één behandeling voldoende. Bij circa 13% is een aanvullende behandeling nodig.

Operatie tendinitis calcarea

Een operatie voor kalk in de schouder is in Nederland de laatste optie.

Slechts een paar procent van de patiënten heeft uiteindelijk een operatie nodig.

De reden: tendinitis calcarea is een aandoening die vaak vanzelf overgaat, en met barbotage en cortisone-injecties zijn de meeste patiënten goed te helpen.

Een operatie is ingrijpender, de revalidatie duurt langer, en de resultaten zijn niet altijd beter dan een goed conservatief traject.

Een operatie komt pas in beeld als injecties en barbotage onvoldoende effect hebben en de klachten langer dan 6 maanden aanhouden.

Korte lijnen bij Orthozorg: Verwijzen we door voor een operatie? Dan kunt u snel terecht bij onze collega Maarten de Vos, gespecialiseerd in schouderchirurgie.

Wat gebeurt er bij een operatie voor kalk in de schouder?

Bij een operatie verwijdert de chirurg de kalkafzetting via een kijkoperatie (arthroscopie).

Via kleine gaatjes brengt de chirurg een camera en instrumenten in de schouder. De kalk wordt opgezocht, kapotgemaakt en weggezogen met een shaver.

Wat wordt er nog meer gedaan?

Dat hangt af van wat de chirurg aantreft:

  • Bursectomie: de ontstoken slijmbeurs wordt verwijderd. Dit gebeurt vrijwel altijd.
  • Peesherstel (cuff repair): als het verwijderen van de kalk een gat in de pees achterlaat, wordt dit gehecht. Onderzoek toont dat peesherstel op de lange termijn betere resultaten geeft.

Een subacromiale decompressie (bot wegfrezen van het schouderdak) wordt bij kalk steeds minder uitgevoerd. Recent onderzoek toont dat het geen duidelijke meerwaarde heeft bij tendinitis calcarea.

Herstel na een operatie

Reken op 3 tot 6 maanden voordat de schouder weer volledig bruikbaar is. Bij een peesherstel kan het langer duren. De eerste weken draagt u een sling, daarna volgt revalidatie bij de fysiotherapeut.

Binnen één week geholpen

Genoeg van de schouderpijn?

Laten we kijken wat we voor u kunnen doen

Maak een afspraak bij Orthozorg

Bel nuContact
Bel nuContact

Zo werkt het:

  1. Verwijzing: vraag uw huisarts om een verwijzing orthopedie naar Orthozorg
  2. Contact: wij bellen u binnen 24 uur voor een afspraak
  3. Consult: binnen één week, op een van onze 10 locaties
  4. Behandeling: vaak al tijdens het eerste consult met een echogeleide injectie of barbotage

Vergoed vanuit de basisverzekering. Geen eigen bijdrage, wel eigen risico.

Bel nuContact
Bel nuContact

Veel gestelde vragen – FAQ

Kan kalk in de schouder vanzelf verdwijnen?

Ja. Bij ongeveer 30% van de patiënten lost de kalk spontaan op. Het lichaam ruimt de kalk zelf op via afweercellen.

Dat is de oplossingsfase – vaak het pijnlijkste moment, maar het betekent dat het lichaam bezig is met opruimen.

Het probleem: dit proces kan jaren duren. En bij 70% van de patiënten verdwijnt de kalk niet vanzelf.

Hoe lang u wilt afwachten is een afweging die we graag met u bespreken.

Hoelang duurt herstel na een barbotage?

Reken op napijn de eerste dagen. Na 6 weken maken we een controle-echo.

De meeste patiënten merken na 2 tot 4 weken verbetering. Het volledige herstel duurt 2 tot 3 maanden, omdat de pees zich moet herstellen op de plek waar de kalk is verwijderd.

Belangrijk: bouw uw activiteiten rustig op. De pees is na de behandeling tijdelijk kwetsbaarder.

Kan ik sporten met kalk in de schouder?

Dat hangt af van de sport en de ernst van uw klachten.

Sporten waarbij u de arm boven schouderhoogte gebruikt (zwemmen, tennis, volleybal) verergeren meestal de klachten.

Sporten zonder bovenhandse belasting (fietsen, wandelen, hardlopen) zijn vaak wel mogelijk.

De vuistregel: als een beweging pijn doet, vermijd die beweging. Forceren verergert de irritatie.

Wat is het verschil tussen een kalkafzetting en een peesontsteking?

Een kalkafzetting en een peesontsteking gaan vaak samen, maar het zijn twee verschillende dingen.

Bij een peesontsteking is de pees zelf geïrriteerd of beschadigd.

Bij tendinitis calcarea zit er kalk ín de pees die de irritatie veroorzaakt. De kalk kan drukken op de slijmbeurs en de pees van binnenuit beschadigen.

Behandeling verschilt: een peesontsteking behandelen we met cortisone, rust en soms met lichaamseigen bloedplasma (PRP). Bij kalk kan een barbotage de oorzaak wegnemen.

Lees meer op onze pagina peesontsteking schouder.

Wat is het verschil tussen een kalkafzetting en een slijmbeursontsteking?

De slijmbeurs ligt direct boven de pees waarin de kalk zit. Bij tendinitis calcarea is de slijmbeurs bijna altijd mee ontstoken.

Veel patiënten krijgen eerst de diagnose slijmbeursontsteking.

Pas bij echografie of röntgen wordt duidelijk dat kalk de onderliggende oorzaak is. De slijmbeurs reageert op de kalk, maar is niet het probleem zelf.

Dat is een belangrijk verschil: alleen de slijmbeurs behandelen met cortisone helpt tijdelijk. De kalk aanpakken lost het probleem op.

Lees meer op onze pagina slijmbeursontsteking schouder.

Helpt shockwave bij kalk in de schouder?

Shockwave kan helpen, maar het effect is wisselend. Bij ongeveer 50% van de patiënten treedt verbetering op.

Shockwave werkt met geluidsgolven die de kalk kunnen fragmenteren en de stofwisseling in de pees stimuleren.

Het is minder effectief dan barbotage bij het daadwerkelijk verwijderen van kalk, maar kan als tussenstap zinvol zijn.

Bij uw fysiotherapeut bent u aan het juiste adres voor shockwave therapie.

Welke oefeningen helpen bij kalk in de schouder?

Oefeningen helpen niet om de kalk te verwijderen, maar kunnen wel de klachten verminderen.

Spierversterkende oefeningen voor de rotator cuff zorgen voor meer ruimte onder het schouderdak.

Daardoor schuurt de kalk minder bij het bewegen. Maar: begin niet te vroeg. Bij hevige pijn werken oefeningen vaak averechts.

Laat u adviseren door een fysiotherapeut over het juiste moment en de juiste oefeningen.

Heeft voeding invloed op kalk in de schouder?

Nee. Een kalkafzetting in de schouder heeft niets te maken met uw voeding of calciuminnname.

Het is een veelvoorkomend misverstand. Tendinitis calcarea ontstaat door een verstoord herstelproces in de pees, niet door te veel kalk in de voeding.

Het heeft ook geen verband met aderverkalking of botontkalking (osteoporose).

Minder kalk eten of drinken heeft geen effect op een bestaande kalkafzetting in de schouder.

Wordt een barbotage vergoed?

Ja. Een barbotage bij Orthozorg wordt vergoed vanuit de basisverzekering.

U heeft een verwijzing orthopedie nodig van uw huisarts. Er is geen eigen bijdrage, wel is het eigen risico van toepassing.

Contact

085 047 1627

Stuur een bericht

Reviews

Kosten en Vergoeding

Onderzoeken en behandelingen worden vergoed vanuit de basiszorg. Let op: U heeft een verwijzing orthopedie nodig van uw huisarts of specialist.

Vestigingen

    • Amsterdam
    • Zaandam
    • Purmerend
    • Hoorn
    • Heemskerk
    • Heerhugowaard
    • Houten
    • Woerden
    • Almelo
    • Deventer
    • Enschede

Over Orthozorg

Orthozorg (voorheen Echozorg) is een polikliniek voor orthopedie. U wordt altijd binnen één week onderzocht door een orthopeed en echografist. Zo komen wij zonder vertraging tot de juiste diagnose. Vaak kunnen we u tijdens het eerste consult al behandelen.

Aandoeningen

Schouder
Artrose AC gewricht
Artrose schouder
Biceps Tendinitis
Cuff ruptuur
Frozen Shoulder
Peesontsteking schouder
Slijmbeursontsteking schouder
Tendinitis calcarea

Elleboog
Golferselleboog
Slijmbeursontsteking elleboog
Tennisarm

Pols en hand
Artrose duim
Ganglion pols
Quervain
Triggervinger

Heup
Slijmbeursontsteking heup

Knie
Artrose knie
Jumpers knee
Osgood Schlatter

Voet en enkel
Achillespees ontsteking
Hielspoor
Mortons neuroom
Peesplaatontsteking

Behandelingen

Cortisone injectie
Hyaluronzuur injectie
ACP injectie
Echogeleide injectie
Barbotage
Shockwave therapie

Aangesloten bij

Verwijzers kunnen ons in ZorgDomein vinden onder Medisch specialistische zorg > Orthopedie > Gewrichtsaandoeningen

Vestigingen

Amsterdam, Zaandam, Purmerend, Hoorn, Haarlem, Heemskerk, Heerhugowaard, Houten, Woerden, Almelo, Deventer, Enschede

Over ons

Contact
Vestigingen
Verwijzers
Meest gestelde vragen
Privacy Statement

Openingstijden

Ma. 8:30 – 17:00 uur
Di. 8:30 – 17:00 uur
Wo. 8:30 – 17:00 uur
Do. 8:30 – 17:00 uur
Vr. 8:30 – 17:00 uur

Scroll naar bovenzijde Scroll naar bovenzijde Scroll naar bovenzijde