ACP injectie
Bloedplaatjes injectie | PRP injectie | Bij peesontsteking en artrose
Snel van uw pijn af? Binnen 1 week een afspraak bij onze orthopedisch specialisten op 10 locaties.
Orthozorg (v/h Echozorg) Specialist in Orthopedie
Afspraak Binnen één Week bij 10 Locaties
Bloedplaatjes injectie | PRP injectie | Bij peesontsteking en artrose

Omdat u last heeft van artrose? Of een chronische peesontsteking?
Een ACP of PRP behandeling is een injectie met uw eigen bloedplasma.
Deze behandeling wordt toegepast bij patiënten met:
De behandeling is vooral geschikt bij chronische klachten en waarbij rust, fysiotherapie en andere injecties onvoldoende hebben geholpen.
Bij Orthozorg hebben veel we veel ervaring met ACP / PRP behandelingen.
Sinds 2012 voeren we bloedplaatjes injecties uit. Altijd echogeleid, altijd op de juiste plek.
Op deze pagina leest u wat de behandeling inhoudt. Hoe het werkt, voor welke aandoeningen we het gebruiken en wat u kunt verwachten.
Een bloedplaatjes injectie is een behandeling waarbij geconcentreerd plasma uit uw eigen bloed wordt ingespoten in een ontstoken pees of een gewricht met artrose, om het natuurlijke herstelproces te activeren.
Een ACP / PRP injectie is een behandeling met uw eigen bloedplasma.
We nemen een kleine hoeveelheid bloed af. Centrifugeren het bloed en injecteren vervolgens het geconcentreerde bloedplasma terug in een ontstoken pees of een gewricht met artrose.

De werking van ACP of PRP zit in de bloedplaatjes van het bloedplasma.
Bloedplaatjes bevatten meer dan 300 bioactieve stoffen, waaronder groeifactoren die:
ACP (Autologous Conditioned Plasma) en PRP (Platelet-Rich Plasma) zijn twee varianten van dezelfde behandeling, maar met een belangrijk verschil in concentratie en samenstelling.
Bloedplaatjes zijn kleine cellen in uw bloed die van nature worden aangemaakt in het beenmerg. Hun bekendste taak is bloedingen stoppen. Ze plakken samen op een wond en vormen een plug. Maar dat is niet alles.
Bloedplaatjes bevatten ook kleine opslagplekken, de zogenaamde alfa-granules, gevuld met tientallen signaalstoffen. Die stoffen heten groeifactoren. Ze worden vrijgegeven zodra een bloedplaatje een beschadiging in weefsel herkent.
Groeifactoren zijn signaalstoffen die het lichaam vertellen wat het moet doen om te herstellen. De belangrijkste zijn:
Bij een normale wond komen bloedplaatjes via het bloed vanzelf naar de beschadigde plek.
Maar bij chronische aandoeningen zoals een gewricht met artrose of een beschadigde pees is dit proces vastgelopen. Er komen te weinig bloedplaatjes, te laat, of op de verkeerde plek.
Een bloedplaatjes injectie omzeilt dat probleem. We centrifugeren uw bloed zodat de bloedplaatjes worden geconcentreerd, 2 tot 18 keer meer dan normaal bloed.
Dat geconcentreerde plasma injecteren we echogeleid precies in het beschadigde weefsel. De groeifactoren komen zo direct daar terecht waar het lichaam ze zelf niet meer kan leveren.
Het resultaat is geen kunstmatige stof van buitenaf. Het zijn uw eigen signaalstoffen, op de juiste plek, in de juiste concentratie.
Hoe die groeifactoren precies werken bij artrose en bij peesontsteking leest u hieronder.
Pezen herstellen van nature traag. Ze bevatten tien keer minder bloedvaten dan spieren, waardoor de aanvoer van voedingsstoffen beperkt is.
Bij een chronische peesontsteking kan het herstelproces daardoor vastgelopen.

Een injectie met ACP of PRP brengt geconcentreerde groeifactoren direct in de aangedane pees.
Deze activeren nieuwe, gezonde peesvezels, remmen de ontsteking en stimuleren de doorbloeding.
Bij 70 tot 80% van de patiënten met een chronische peesontsteking hebben baat bij deze behandeling.
Dat weten we bij Orthozorg na meer dan 13 jaar ervaring met bloedplaatjes injecties.
Pezen zijn de stevige kabels die spieren met botten verbinden. Anders dan spieren hebben pezen zeer weinig bloedvaten, waardoor ze bij schade nauwelijks groeifactoren ontvangen. Dit verklaart waarom peesherstel zo traag verloopt. Natuurlijk herstel kan 1 tot 2 jaar duren.
Chronische peesontstekingen ontstaan door een combinatie van twee factoren.
Met het ouder worden veranderen onze pezen. Vooral mensen boven de 40 krijgen vaker te maken met chronische peesontstekingen omdat de kwaliteit van het peesweefsel afneemt.
Er zijn minder actieve peescellen die voor herstel kunnen zorgen en de natuurlijke herstelcapaciteit vermindert waardoor kleine beschadigingen moeilijker genezen.
Peesweefsel is sterk, maar gevoelig voor overbelasting en herstelt traag door de beperkte bloedtoevoer.
Bij herhaalde of langdurige belasting zoals sporten, typen en klussen, raakt de balans tussen belasting en herstel verstoord. Beschadigingen stapelen zich op.
Bij langdurige overbelasting kunnen kleine scheurtjes in de pees ontstaan. Normaal herstellen deze tijdens rust, maar door de trage doorbloeding gaat dit veel langzamer dan bij spieren of botten.
De pees verliest geleidelijk gezonde vezels, wordt zwakker en houdt meer vocht vast.
Het resultaat is tendinose: het natuurlijke herstelproces raakt volledig verstoord. Wat begon als een kleine ontsteking is een chronisch probleem geworden.

Bij een chronische peesontsteking probeert het lichaam de peesvezels te herstellen door nieuwe bloedvaatjes aan te maken, een proces dat neovascularisatie heet.
Dit lijkt gunstig, maar veroorzaakt juist extra problemen.
Deze nieuwe bloedvaatjes groeien ongeordend. Samen met de vaatjes groeien pijngevoelige zenuwvezels mee die voortdurend signalen sturen. Zelfs lichte belasting van de pees kan daardoor hevige pijn veroorzaken.
De combinatie van slechte doorbloeding, tendinose en neovascularisatie maakt behandeling lastig. Rust, fysiotherapie en pijnstillers pakken de onderliggende verstoring niet aan.
Cortisone onderdrukt tijdelijk de pijn, maar verzwakt de pees verder. Wat het probleem op lange termijn verergert.
Het herstel verloopt in vier fasen.
Orthopeden onderscheiden drie fasen in een peesontsteking. Bij Orthozorg brengen we deze fasen in beeld met echografie voordat we een behandeling met bloedplasma adviseren.
Meestal herstel binnen 2 tot 6 weken met rust en fysiotherapie.

Echo: peesvezels zijn gezwollen maar de structuur is nog intact — zoals een touw dat dik is maar nog niet rafelt.
Klachten 3 tot 6 maanden aanwezig. Een bloedplaatjes injectie is geschikt.

Echo: peesvezels beginnen te zwellen en te rafelen. Nieuwe pijnlijke bloedvaatjes zijn zichtbaar als rode en blauwe stipjes.
Klachten langer dan 6 maanden, structurele peesschade. Een bloedplaatjes injectie is zeer geschikt.

Echo: ernstige zwelling met kleine scheurtjes en veel ingroei van nieuwe pijnlijke bloedvaatjes.
In fase 1 herstelt de pees meestal nog vanzelf — een bloedplaatjes injectie is dan nog niet nodig. In fase 2 en 3 loopt het natuurlijke herstel vast en heeft de pees externe hulp nodig. Dit is het moment waarop een bloedplaatjes injectie het meeste effect heeft.
Cortisone en een bloedplaatjes injectie werken op een fundamenteel andere manier.
Cortisone onderdrukt de pijn. Een bloedplaatjes injectie herstelt de oorzaak.
Bij chronische peesontstekingen zoals een tenniselleboog, achillespees en een jumpers knee — is cortisone injectie op de korte termijn effectief.
De pijn neemt snel af. Maar op de middellange en lange termijn zijn de uitkomsten slechter dan bij geen behandeling of fysiotherapie.
Cortisone pakt de onderliggende peesschade niet aan en verzwakt bij herhaald gebruik het peesweefsel.
Een bloedplaatjes injectie werkt langzamer. De eerste verbetering onststaan pas na een maand of 2. Maar het peesweefsel herstelt van binnenuit. Bij 3 op de 4 patiënten met een chronische peesontsteking leidt dit tot blijvend resultaat.
Wat in de praktijk vaak als slijmbeursontsteking wordt gediagnosticeerd is in de meeste gevallen een peesontsteking waarbij de slijmbeurs secundair geprikkeld raakt.
Bij Orthozorg geven we bij de schouder en heup toch vaak eerst een cortisone injectie in de slijmbeurs. Vorals tijdelijke maatregel om de slijmbeurs tot rust te brengen.
Maar we zijn eerlijk: het is geen behandeling van de onderliggende oorzaak. Als de klachten terugkomen, kan een bloedplaatjes injectie de logische vervolgstap zijn.
Bij artrose neemt de hoeveelheid hyaluronzuur in het gewricht af. Het gewrichtsvocht wordt dunner, de gewrichtsvlakken gaan meer tegen elkaar wrijven en het kraakbeen raakt beschadigd.
Dat geeft pijn, stijfheid en steeds meer beperkingen in het dagelijks leven.

Een ACP of PRP injectie stimuleert het gewricht om zelf weer hyaluronzuur aan te maken.
Daarnaast remmen de groeifactoren ontstekingen, beschermen ze resterend kraakbeen en verminderen ze pijn.
Belangrijk: een bloedplaatjes injectie maakt geen nieuw kraakbeen aan en herstelt geen slijtage.
Bij ernstige artrose, stadium 4, bot-op-bot contact heeft een bloedplaatjes behandeling weinig tot geen effect. Bij Orthozorg zijn we daar eerlijk over.
Artrose is meer dan alleen slijtage. Het is een complex proces waarbij vier dingen tegelijk misgaan in uw gewricht.
Een bloedplaatjes injectie werkt omdat het op elk van deze vier processen ingrijpt.
In een gezond gewricht zorgt kraakbeen voor een gladde, veerkrachtige laag tussen de botten. Bij artrose:
→ Hoe de bloedplaatjes injectie helpt: Groeifactoren in het plasma remmen de afbraak van resterend kraakbeen en beschermen het tegen verdere schade.
Afbraakproducten van kraakbeen irriteren de binnenbekleding van het gewricht (synoviaal membraan). Dit proces:
→ Hoe de bloedplaatjes injectie helpt: Groeifactoren normaliseren de ontstekingsstoffen (cytokines) in het gewricht en doorbreken de vicieuze cirkel van ontsteking.
Door aanhoudende ontstekingsprocessen:
→ Hoe de bloedplaatjes injectie helpt: De bloedplaatjes verminderen de gevoeligheid van overprikkelde zenuwvezels en dempen de pijnsignalen.
Bij een gezond gewricht zorgen synoviale cellen voor voldoende hyaluronzuur, het lichaamseigen smeermiddel dat het gewricht soepel houdt en schokken opvangt.
Bij artrose neemt zowel de hoeveelheid als de kwaliteit van dit gewrichtsvocht af. Smering vermindert, schokdemping verdwijnt en het gewricht raakt sneller overprikkeld.
→ Hoe de bloedplaatjes injectie helpt: Groeifactoren stimuleren de synoviale cellen om zelf weer hyaluronzuur aan te maken. Dat is een wezenlijk verschil met een hyaluronzuur injectie, die het tekort van buitenaf aanvult. Een bloedplaatjes injectie zet het gewricht aan het werk. Dat verklaart waarom het effect langer aanhoudt dan de injectie zelf aanwezig is.
De meer dan 300 bioactieve stoffen in het plasma pakken alle vier deze processen aan. Van kraakbeenbescherming tot pijnvermindering. Een bloedplaatjes injectie maakt geen nieuw kraakbeen aan, maar beschermt wat er nog is en vermindert klachten.
Een bloedplaatjes injectie werkt het beste bij milde tot matige artrose. Er moet nog voldoende kraakbeen aanwezig zijn om op de behandeling te reageren.
Orthopeden delen artrose in vier stadia:

Stadium 1 (beginnende artrose) → stadium 2 (matige artrose) → stadium 3 (gevorderde artrose) → stadium 4 (ernstige artrose: bot-op-bot contact)
Is er sprake van een actieve ontsteking of veel gewrichtsvocht? Dan starten we eerst met een cortisone-injectie om het gewricht tot rust te brengen. Na 3 tot 4 weken is een bloedplaatjes injectie alsnog een goede optie.
Bij Orthozorg beoordelen we met röntgenfoto’s en echografie zorgvuldig of een bloedplaatjes injectie bij uw situatie zinvol is.
Bij Orthozorg beoordelen we met twee onderzoeken of een ACP of PRP injectie voor uw situatie zinvol is.
Röntgenfoto’s tonen het artrosestadium: hoe nauw de gewrichtsspleet is, of er botuitsteeksels aanwezig zijn en of er nog voldoende kraakbeen over is.
Met echografie zien we of het gewricht actief ontstoken is en hoeveel vocht er aanwezig is. Is er actieve ontsteking? Dan werkt een bloedplaatjes injectie minder goed en starten we eerst met cortisone. Is het gewricht rustig en is de slijtage beperkt tot stadium 1 tot 3? Dan is een bloedplaatjes injectie de aangewezen behandeling.
Bij jongere patiënten of wanneer röntgen en echo geen volledig beeld geven, voegen we soms een MRI toe. Dat helpt bij twijfel over andere oorzaken zoals meniscusletsel, kraakbeendefecten of botoedeem.
Bij Orthozorg: röntgen toont het bot, echo toont de gewrichtstoestand. U krijgt een eerlijk advies over uw kansen. Als een bloedplaatjes injectie bij u minder zinvol is, bespreken we samen de beste alternatieven.
Per aandoening leest u hieronder wat u kunt verwachten. Alle injecties worden echogeleid gegeven. Voor maximale precisie en een hogere slagingskans dan bij blinde injecties.
Tenniselleboog (laterale epicondylitis) is een chronische peesontsteking van de strekpezen aan de buitenzijde van de elleboog.
Ondanks de naam komt het vaker voor bij mensen die helemaal niet tennissen zoals schilders, timmerlieden, kantoorwerkers, iedereen die repeterende handbewegingen maakt.
Typische klachten: pijn bij handdruk geven of een koffiekopje optillen, krachtverlies bij grijpen, uitstraling naar de onderarm.
De strekpezen hechten aan op het bot. De peesaanhechting heeft een zone met zeer weinig bloedvaten. Kleine scheurtjes herstellen hier maar erg langzaam vanzelf.
Een bloedplaatjes injectie brengt geconcentreerde groeifactoren direct op die plek en activeert het herstel dat zonder hulp vastloopt.
Een cortisone injectie bij een tenniselleboog raden we sterk af. Het onderdrukt weliswaar de pijn maar verzwakt tegelijkertijd het peesweefsel op de aanhechting. Met verhoogd risico op langdurig klachten.
Eerste verbetering na 3 tot 6 weken. Maximaal effect na 3 tot 6 maanden. Bij 70 tot 80% van de patiënten blijvend herstel. Na 12 weken evalueren we het resultaat.
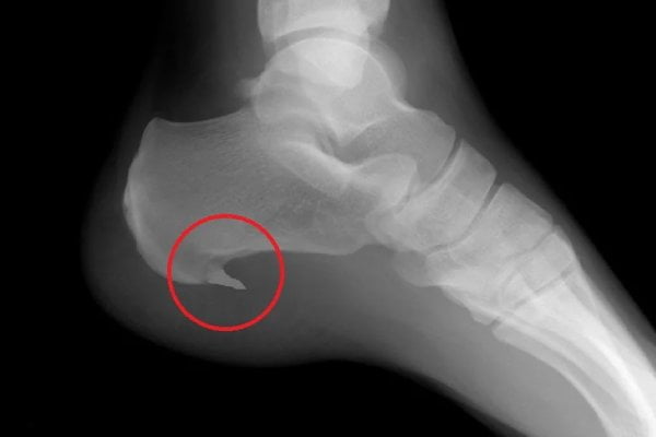
Hielspoor (plantaire fasciitis) is een ontsteking van de peesplaat onder uw voet. Dit is een dikke band van bindweefsel die van uw hiel naar uw tenen loopt en uw voetboog ondersteunt.
Het botuitsteeksel, de “spoor”, veroorzaakt zelden pijn. De echte boosdoener is de ontstoken aanhechting van de peesplaat aan het hielbeen.
Typische klachten: pijn onder de hiel bij de eerste stappen ’s ochtends, verbetering tijdens bewegen maar terugkeer na rust.
Bij tenniselleboog, jumpers knee en achillespees raden we cortisone sterk af. Maar hielspoor gedraagt zich anders.
De peesplaat is geen klassieke pees maar een breed, vlak stuk bindweefsel. Bij een eerste episode is er vaak sprake van een echte ontsteking, geen degeneratie.
Uit meerdere onderzoeken blijkt dat een cortisone injectie bij hielspoor in de acute fase pijnverlichting geeft die 4 tot 12 weken aanhoudt. Eén Deens RCT toonde zelfs aan dat cortisone gecombineerd met oefentherapie op zowel de korte als lange termijn effectiever is dan oefentherapie alleen.
Dat is ook wat wij in de praktijk zien: bij hielspoor met actieve ontsteking is cortisone injectie een goede eerste behandeling. Bij een chronische of degeneratieve peesontsteking elders is dat niet zo.
De kanttekening is belangrijk: cortisone werkt alleen als de peesplaat nog intact is. Bij herhaalde injecties of bij peesschade op echo neemt het risico op scheuring toe. Vandaar dat we bij Orthozorg altijd eerst echografisch beoordelen wat de toestand van de peesplaat is.
Bij een eerste episode met actieve ontsteking en een nog intacte peesplaat op echo geven we bij Orthozorg vaak een cortisone injectie rondom de peesplaat-aanhechting. Bewust naast de peesplaat, nooit erin, om verzwakking te voorkomen. Bij 60 tot 70% werkt dit 3 tot 6 maanden.
Keren de klachten terug na cortisone, of zien we peesschade op echo? Dan is een bloedplaatjes injectie de aangewezen volgende stap. Op de lange termijn scoort PRP bij hielspoor significant beter dan cortisone: na 3 en 6 maanden zijn pijnscores en functie duidelijk beter. PRP herstelt de onderliggende schade die cortisone niet aanpakt.
Eerste verbetering na 3 tot 4 weken. Maximaal effect na 3 tot 6 maanden. Bij 70% van de patiënten langdurig herstel. Na 12 weken evalueren we het resultaat.
De achillespees is de dikste en sterkste pees in uw lichaam. Bij overbelasting of microtrauma’s kan de achillepees op verschillende plekken ontstoken reaken. Elk met eigen kenmerken en behandeling.
Typische klachten van een achillepeesontsteking: ochtendstijfheid bij de eerste stappen, pijn bij aanzet van bewegen, een voelbare verdikking van de pees, krachtverlies bij afzetten.
Met echografie bepalen we exact waar uw klacht zit. De locatie bepaalt welke behandeling veilig en effectief is.
Midpees ontsteking (2 tot 6 cm boven de hiel): op deze plek geven we uitsluitend een bloedplaatjes injectie. Cortisone is hier te riskant vanwege verhoogd scheurgevaar. Dit is de meest voorkomende locatie.
Insertie tendinopathie (aanhechting aan de hiel); afhankelijk van de echo-bevindingen. Bij structurele schade geven we meestal een bloedplaatjes injectie. Bij hevige klachten kan soms een cortisone intectie in het peesvlies gegeven worden tegen de pijn.
Paratenonitis (ontsteking van het peesvlies): een cortisone injectie kan helpen bij een acute ontsteking van het omhullende vlies. Bij chronische of terugkerende klachten adviseren we een bloedplaatjes injectie.
Bursitis (slijmbeurs achter de hiel): een cortisone injectie is een effectief bij slijmbeursontsteking. Een bloedplaatjes injectie gebruiken we wanneer er bijkomende peesschade is.
Eerste verbetering na 3 tot 4 weken. Maximaal effect na 3 tot 6 maanden. Bij 65 tot 75% van de patiënten blijvend herstel. Na 12 weken evalueren we het resultaat.
Jumpers knee (patellapeesontsteking) is een overbelastingsblessure van de kniepees. De sterke pees die uw knieschijf verbindt met uw scheenbeen.
Bij springen ondergaat deze pees extreme belasting, tot 8 keer uw lichaamsgewicht bij landen. Bij onvoldoende herstel stapelen microtrauma’s zich op en worden de klachten chronisch.
Typische klachten: pijn onder de knieschijf bij springen en landen, stijfheid na zitten, pijn bij traplopen omlaag, krachtverlies bij explosieve bewegingen.
De kniepees is slecht doorbloed op de aanhechting aan de knieschijf. Precies de plek waar jumpers knee ontstaat. Kleine scheurtjes herstellen daar nauwelijks vanzelf.
Een bloedplaatjes injectie brengt groeifactoren direct op de beschadigde plek en activeert het herstel dat zonder hulp vastloopt.
Cortisone is bij jumpers knee sterk af te raden. Het verzwakt de kniepees verder en verhoogt het risico op ruptuur bij een pees die al onder extreme belasting staat een ernstig risico.
Eerste verbetering na 12 tot 16 weken. Terugkeer naar lichte training mogelijk na 3 tot 4 maanden. Terugkeer naar volledig sportniveau bij de meeste sporters na 4 tot 6 maanden. Na 12 weken evalueren we het resultaat en bepalen we of een tweede injectie zinvol is.
Let op: Er kan behoorlijk schade optreden in de kniepees. Zeker niet alle bloedplasma behandelingen zijn 100 procent succevol.
De rotator cuff bestaat uit vier pezen die uw schoudergewricht stabiliseren en bewegen mogelijk maken.
Ze lopen door een nauwe ruimte onder het schouderdak. Bij overbelasting of slechte doorbloeding raken ze ontstoken of beschadigd.
Wat vaak “slijmbeursontsteking” wordt genoemd, is in de meeste gevallen een peesontsteking van de rotator cuff. De slijmbeurs raakt secundair geprikkeld. Met echografie zien we binnen vijf minuten exact wat er aan de hand is.
Typische klachten: pijn bij arm heffen boven schouderhoogte, nachtelijke pijn, krachtverlies bij dagelijkse handelingen, uitstraling naar de bovenarm.
De supraspinatuspees, de meest aangedane pees van de rotator cuff, heeft een zone met minimale bloedtoevoer. Chronische peesschade herstelt hier slecht vanzelf.
Een bloedplaatjes injectie brengt groeifactoren direct in die slecht doorbloede zone en activeert het herstelproces dat zonder hulp vastloopt.
Bij een partiële peesscheur kan een bloedplaatjes injectie nog zinvol zijn. Bij een volledige scheur het effect beperkt, dan is een andere behandeling aangewezen.
Eerste verbetering na 6 tot 12 weken. Nachtelijke pijn neemt meestal als eerste af. Maximaal effect na 3 tot 6 maanden. Bij 50 tot 60% van de patiënten duidelijke verbetering. Na 12 weken evalueren we het resultaat.
Wat wordt gediagnosticeerd als “slijmbeursontsteking heup” is in 80% van de gevallen een peesontsteking van de pezen van de bilspieren (gluteus medius en minimus). Deze hechten aan aan de buitenkant van de heup.
De slijmbeurs raakt in tweede instantie geprikkeld door de peesproblemen en wrijving.
Met echografie zien we goed wat er aan de hand is namelijk: peesschade, verdikking, scheurtjes en kunnen we gericht behandelen in plaats van alleen symptomen te bestrijden.
Typische klachten: pijn aan de buitenzijde van de heup bij lopen en traplopen, niet kunnen liggen op de aangedane zijde, pijn bij opstaan uit een stoel of auto.
De aanhechtingszone van de bilspieren is slecht doorbloed en wordt bij elke stap belast. Rust is praktisch onmogelijk. Kleine beschadigingen stapelen zich op zonder dat het lichaam ze kan repareren. Een bloedplaatjes injectie brengt groeifactoren direct op de beschadigde aanhechting en activeert het herstelproces dat zonder hulp vastloopt.
Een cortisone injectie in de slijmbeurs die over de aanhechtingen heuppezen ligt geeft meestal tijdelijk verlichting. Maar pakt de onderliggende irritatie van de bilspierpezen niet aan. Bij herhaald gebruik verzwakt het het peesweefsel verder.
Eerste verbetering na 2 tot 4 weken. Nachtelijke pijn neemt meestal als eerste af. Maximaal effect na 3 tot 6 maanden. Bij 60 tot 70% van de patiënten langdurige verbetering. Na 12 weken evalueren we het resultaat.
De knie reageert het beste op een bloedplaatjes injectie van alle gewrichten.
Dat komt doordat de knie goed bereikbaar is voor een echogeleide injectie en het gewricht sterk reageert op de groeifactoren in het plasma.
Is er veel gewrichtsvocht aanwezig op echo? Dan starten we eerst met cortisone om het gewricht tot rust te brengen. Na 3 tot 4 weken is een bloedplaatjes injectie alsnog een goede optie.
De heup reageert iets minder voorspelbaar op een bloedplaatjes injectie dan de knie.
Bij 55 tot 65% van de patiënten met milde tot matige heupartrose duidelijk minder pijn en betere mobiliteit, met een werkingsduur van 6 tot 12 maanden.
De heup ligt 4 tot 6 cm diep. Zonder echogeleiding is een nauwkeurige plaatsing niet mogelijk — bij Orthozorg geven we alle heupinjecties echogeleid.
Is er veel gewrichtsvocht of actieve ontsteking aanwezig? Dan starten we eerst met cortisone. Na 3 tot 4 weken is een bloedplaatjes injectie alsnog een goede optie.
De schouder is een complex gewricht met wisselende resultaten.
Ongeveer 50 tot 55% van de patiënten met milde tot matige schouderartrose ervaart een duidelijke verbetering van pijn en bewegingsvrijheid met een werkingsduur van 6 tot 12 maanden.
Post-traumatische artrose na letsel geeft 45 tot 50% verbetering met een werkingsduur van 3 tot 9 maanden. Bij artrose met rotator cuff schade is het effect beperkt. Dan moet eerst de peesschade worden behandeld.
Is er sprake van een volledige peesscheur met cuff-artropathie? Dan is een bloedplaatjes injectie in het gewricht niet zinvol. Met echografie zien we direct het verschil tussen gewrichtsslijtage en peesschade — en behandelen we op de juiste plek.
De enkel is een zwaar belast gewricht met een nauwe gewrichtsruimte.
Ongeveer 50 tot 55% van de patiënten met milde tot matige enkelartrose ervaart significante verbetering in pijn en functie na een bloedplaatjes injectie.
Na een enkelbreuk of herhaalde verstuikingen kan het kraakbeen jarenlang ongemerkt achteruitgaan. Patiënten zijn daardoor vaak jonger en actiever dan bij andere gewrichten en extra gemotiveerd om een operatie uit te stellen.
Resultaten per type enkelartrose:
De enkel is een nauw gewricht. Zonder echogeleiding is de kans op een verkeerd geplaatste injectie aanzienlijk groter dan bij de knie. Bij Orthozorg injecteren we altijd echogeleid, ook bij de enkel.
Een bloedplaatjes behandeling duurt ongeveer 30 minuten en verloopt in drie stappen
1. Intake en onderzoek
De orthopeed onderzoekt uw klacht met echografie en bepaalt of een bloedplaatjes injectie geschikt is. Bij artrose beoordelen we ook vaak met röntgen het artrosestadium.
2. Bloedafname en verwerking
We nemen een kleine hoeveelheid bloed af uit uw arm. In een centrifuge wordt het plasma in 4 tot 20 minuten geconcentreerd. Dit is afhankelijk van de methode die we gebruiken voor pees of gewricht.
3. Echogeleide injectie
Met echografie injecteren we het geconcentreerde plasma precies op de aangedane plek. In de pees of in het gewricht.

Na de behandeling
U kunt direct naar huis en normale activiteiten hervatten. De eerste 48 uur adviseren we zware belasting te vermijden. Lichte napijn is normaal. Paracetamol mag, maar liever geen ontstekingsremmers zoals ibuprofen, die remmen het herstelproces.
Follow-up
Na 12 weken evalueren we het effect en bespreken we of een tweede injectie zinvol is.
Wat moet u weten vóór en na de behandeling?
U hoeft niet nuchter te zijn. Eet en drink gewoon zoals u gewend bent. Neem een actuele medicatielijst mee, inclusief bloedverdunners.
Stop een week voor de behandeling met ontstekingsremmers zoals ibuprofen, diclofenac of naproxen. Paracetamol is geen probleem.
U kunt direct naar huis en rustige activiteiten hervatten. De eerste 48 uur: vermijd zware belasting van de behandelde pees of het behandelde gewricht. Lichte beweging is goed.
Paracetamol mag bij napijn. Geen ontstekingsremmers de eerste twee weken — die remmen het herstelproces.
Week 1 tot 2: vermijd activiteiten die pijn veroorzaken.
Week 3 tot 6: bouw belasting geleidelijk op binnen de pijngrens. Luister naar uw lichaam. Stijfheid de volgende dag betekent te snel opgebouwd. Na 6 weken kunnen de meeste dagelijkse activiteiten worden hervat.
Bewegen is goed, stilzitten niet. Bewegen op geleide van pijn is het uitgangspunt: activiteiten die pijn veroorzaken vermijdt u tijdelijk, maar u blijft wel in beweging.
Lopen, fietsen en zwemmen zijn goede opties. Overbelasting vertraagt het herstelproces en versterkt de ontsteking in het gewricht.
Complicaties zijn zeer zeldzaam bij een behandeling met eigen bloedplasma. Neem toch contact op bij toenemende pijn, roodheid of zwelling na 48 uur, koorts of uitslag rond de injectieplaats.
Hoeveel behandelingen zijn er nodig?
Bij de meeste patiënten volstaat één behandeling. We starten altijd met één injectie om uw respons te beoordelen.
Bij 70 tot 80% van de patiënten geeft één behandeling voldoende resultaat. Het herstelproces verloopt geleidelijk over 3 tot 6 maanden. Na 3 maanden merkt u gemiddeld 30% verbetering, na 6 maanden vaak 50 tot 70%. Geduld is essentieel. Het heeft geen zin snel een tweede behandeling overwegen is vaak onnodig.
Een tweede injectie overwegen we na 12 weken bij gedeeltelijke verbetering (20 tot 30%), ernstige peesschade op echo, grote pezen zoals de achillespees of rotator cuff, of bij klachten die langer dan twee jaar bestaan.
Bij 50 tot 70% van de patiënten geeft één behandeling voldoende verlichting voor 3 tot 12 maanden. Een tweede injectie overwegen we na 8 tot 12 weken bij gedeeltelijke verbetering of gevorderde artrose (stadium 3).
Cortisone kan maximaal 2 tot 3 keer per jaar worden gegeven en tast bij herhaling kraakbeen en peesweefsel aan. Een bloedplaatjes injectie is veilig herhaalbaar zonder weefselschade, zonder beperking in aantal behandelingen.
Een bloedplaatjes injectie activeert het herstelproces in het lichaam.
Dat kost tijd. De eerste weken kunt u zelfs meer pijn ervaren dan daarvoor. Dat is geen teken dat het niet werkt, maar juist dat het herstelproces op gang is gekomen.
Het resultaat verschilt per persoon en hangt af van de ernst van de aandoening, de aanwezigheid van ontsteking, uw leeftijd, lichaamsgewicht en of u rookt.
Bij peesontsteking verwachten we blijvend herstel. Bij artrose is het effect meestal tijdelijk. Maar herhaalbaar bij goed resultaat.
Hieronder leest u wat u kunt verwachten bij een peesontsteking en artrose.
Peesherstel is geen lineair proces. De eerste 1 tot 2 weken kunt u meer pijn of stijfheid ervaren dan daarvoor.
Dat is normaal. De bloedplaatjes activeren het herstelproces. Echte verbetering komt daarna geleidelijk.
Week 3 tot 4: de eerste verbetering wordt merkbaar.
Maand 2 tot 3: duidelijke afname van pijn en stijfheid.
Maand 3 tot 6: het effect is het grootst.
Pezen herstellen tien keer trager dan spieren. Geduld is essentieel.
Gaat het 50% of meer beter? Dan is dat een goed teken en wachten we af. Gaat het 20 tot 30% beter maar bent u er nog niet?
Dan is een tweede injectie zinvol.
U kunt het resultaat zelf deels beïnvloeden. Roken vermindert het effect aanzienlijk. Gebruik geen ontstekingsremmers in de twee weken na de injectie.
En bouw de belasting geleidelijk op. Te snel gaat ten koste van het herstel, te langzaam geeft onnodige stijfheid.
Week 1 tot 2: mogelijk lichte napijn. Week 2 tot 3: eerste verbetering merkbaar. Maand 1 tot 2: het effect is het grootst. Mensen bewegen soepeler en minder pijn bij belasting.
Artrose geneest niet. Een bloedplaatjes injectie vermindert klachten en vertraagt verdere slijtage, maar herstelt geen kraakbeen.
Het effect houdt aan zolang er nog voldoende kraakbeen is om op te reageren. Afhankelijk van het artrosestadium en het gebruikte systeem is de werkingsduur 3 tot 12 maanden.
Nemen de klachten na verloop van tijd weer toe?
Dan kunt u opnieuw behandeld worden. Anders dan cortisone heeft een bloedplaatjes injectie geen schadelijke bijwerkingen bij herhaling.
U kunt het resultaat zelf beïnvloeden. Overgewicht belast gewrichten extra; een paar kilo minder verhoogt de slagingskans merkbaar.
Gebruik geen ontstekingsremmers in de twee weken na de injectie. En beweeg op geleide van pijn: matige belasting stimuleert het gewricht, overbelasting werkt averechts.
Bij 10 tot 15% van de patiënten is het resultaat na 12 weken onvoldoende. Dat kan verschillende oorzaken hebben: zeer ernstige peesdegeneratie, partiële scheuren of klachten die al jaren bestaan.
In dat geval bespreken we samen de vervolgopties:
Bij ernstige artrose (stadium 4) of wanneer herhaalde injecties steeds minder effect geven, zijn er andere opties:
Een bloedplaatjes injectie moet precies op de juiste plek terechtkomen. In de ontstoken pees of in het kapsel van een gewricht met slijtage.
Daarbuiten heeft het bloedplasma geen effect. Daarom voeren we bij Orthozorg alle injecties echogeleid uit.

Tijdens de injectie volgen we de naald in real-time op een beeldscherm. We injecteren pas als we zeker weten dat de naald op de juiste plek zit.
Uit onderzoek blijkt dat echogeleide injecties 30 tot 40% effectiever zijn dan blinde injecties. Ze zijn nauwkeuriger, veiliger en voor patiënten vaak minder pijnlijk.
Bij een blinde injectie vertrouwt de arts op anatomische kennis en gevoel. Bij een echogeleide injectie zien we in real-time precies waar de naald naartoe gaat.
Dat klinkt als een klein verschil. Maar de cijfers liegen niet: bij een blinde injectie in de schouder mist de naald het doel in 30 tot 60% van de gevallen. Bij echogeleiding is de nauwkeurigheid vrijwel 100%.
Bij bloedplaatjes injecties is dit extra belangrijk. De groeifactoren hebben alleen een plaatselijk effect. Ze moeten precies in de pees of in het gewrichtskapsel terechtkomen. Een millimeter ernaast en het preparaat heeft geen effect.
Bij Orthozorg is echogeleiding geen extra optie. Het is de standaard voor elke injectie die we uitvoeren.
Een echogeleide bloedplaatjes injectie bij Orthozorg verloopt altijd in drie stappen en duurt ongeveer 2 tot 5 minuten.
De huid wordt gedesinfecteerd. De echografist brengt steriele gel aan op de huid. Met de echo wordt de aangedane pees of het gewricht nauwkeurig in beeld gebracht.
De orthopeed bepaalt de veiligste injectieweg. Een dunne naald wordt met behulp van echografie ingebracht. Op het scherm kunt u de naald zelf ook volgen. Zodra de naald op de juiste plek zit, wordt het bloedplasma ingespoten.
Direct na de injectie controleren we of het plasma goed verspreid is op de beschadigde plek. De naald wordt verwijderd en er wordt een kleine pleister geplakt.
De meeste patiënten ervaren de procedure als minder pijnlijk dan verwacht.
Bij Orthozorg werken tijdens elke injectiebehandeling twee specialisten samen: een orthopeed en een echografist.
De orthopeed is specialist in aandoeningen van het bewegingsapparaat. De echografist is expert in beeldvorming. Samen bieden ze iets wat geen van beiden alleen kan: diagnose én behandeling in één consult.
Twee specialisten die meekijken betekent dubbele controle. Ze beoordelen samen of de diagnose klopt en of de naald op de juiste plaats in de pees of het gewricht zit.
Terwijl de echografist de beelden maakt, concentreert de orthopeed zich op de behandeling. De procedure verloopt daardoor sneller en comfortabeler voor u.
Ontstaat er tijdens het onderzoek een vraag of twijfel? De twee specialisten overleggen direct en bepalen samen de beste aanpak. U hoeft niet terug te komen voor een tweede afspraak.
Bij Orthozorg gebruiken we verschillende systemen om bloedplasma te produceren.

De reden hiervoor is dat we per behandeling nauwkeurig drie dingen willen afstellen namelijk:
Bij een chronische peesontsteking zoals een hielspoor, tenniselleboog of Achillespees ontsteking beginnen we met het Dr. PRP systeem.
Bij gevorderde artrose Xerthra of Angel PRP van Arthrex.
ACP en PRP zijn twee namen voor hetzelfde: een injectie met uw eigen geconcentreerde bloedplasma.
In de praktijk worden de termen door elkaar gebruikt, ook door ons. Het echte onderscheid zit niet in de naam, maar in twee variabelen die elk systeem anders invult.
Hoe meer bloedplaatjes, hoe meer groeifactoren. Maar meer is niet altijd beter, boven een bepaalde drempel neemt het effect af. De optimale concentratie verschilt per aandoening:
Leukocyten spelen een rol in het herstelproces, maar hun effect verschilt per weefsel:
ACP is een merknaam van Arthrex. Het is een eenvoudig en handig systeem waarmee we jarenlang hebben gewerkt bij Orthozorg. Het produceert een leukocytenarm preparaat met een lage concentratie van 1 tot 3 keer de normaalwaarde.
Maar er zijn ook PRP-kits met een lage concentratie én weinig leukocyten die vergelijkbaar zijn met ACP. En er zijn kits met een hoge concentratie én weinig leukocyten, geschikt voor artrose. De naam zegt dus weinig, wat telt is wat er in zit.
Bij Orthozorg passen we de concentratie en methode altijd aan op uw aandoening en situatie. Welke systemen we gebruiken leest u hieronder. Wilt u specifiek behandeld worden met het ACP-systeem van Arthrex? Dat is mogelijk, maar daar zijn extra kosten aan verbonden.
Bij Orthozorg werken we met twee standaardsystemen, afhankelijk van uw aandoening.
Voor peesontstekingen gebruiken we de Dr. PRP-kit. Dit systeem produceert bloedplasma dat geschikt is voor peesherstel. De bereiding duurt 10 minuten. Er zijn geen extra kosten aan verbonden.

Voor artrose gebruiken we het Angel-systeem van Arthrex. Dit volledig geautomatiseerde systeem produceert bloedplasma met een instelbare concentratie van 2 tot 18 keer de normaalwaarde, leukocytenarm. De concentratie en het volume stemmen we af op uw gewricht en artrosestadium.
Dit systeem is vooral van meerwaarde bij gevorderde artrose (stadium 3) en diepgelegen gewrichten zoals de heup.

Voor het Angel-systeem is een eigen bijdrage van toepassing.
Wilt u behandeld worden met het ACP-systeem van Arthrex — voor pezen of gewrichten? Dat is mogelijk, maar daar zijn extra kosten aan verbonden. Tijdens het consult bespreken we de opties.
Bij twijfel bespreken we dit altijd tijdens het consult. Een bloedplaatjes injectie is een veilige behandeling, maar niet voor iedereen en niet altijd op het juiste moment.
In de volgende situaties voeren we geen bloedplaatjes injectie uit:
In de volgende situaties is behandeling soms mogelijk, maar bespreken we dit eerst zorgvuldig:
Leeftijd is geen absolute contra-indicatie, maar wel een belangrijke factor die het resultaat beïnvloedt.
Bloedplasma van oudere patiënten bevat aantoonbaar minder groeifactoren dan dat van jongere patiënten. Naarmate we ouder worden, neemt de concentratie van onder andere PDGF-BB en IGF-1 in het bloedplasma af.
Tegelijk reageert ouder weefsel minder goed op groeifactoren, omdat er minder actieve herstelcellen aanwezig zijn.
Dit is aangetoond in zowel dieronderzoek als klinische studies bij mensen. Bij achillespeesklachten bleek PRP bij patiënten boven de 60 jaar op de korte termijn nog enig effect te hebben, maar op de middellange en lange termijn significant minder effectief dan bij jongere patiënten.
Voor artrose geldt hetzelfde patroon. Onderzoek laat zien dat jonger bloedplasma een duidelijk regeneratief effect heeft op kraakbeen, terwijl bloedplasma van oudere patiënten dit effect grotendeels mist.
Dat verklaart mede waarom bloedplaatjes injecties bij peesontstekingen gemiddeld beter werken dan bij artrose: peesontstekingspatiënten zijn gemiddeld jonger en hebben meer regeneratieve capaciteit.
Last van een peesontsteking of artrose?
Laten we kijken of een bloedplaatjes injectie u kan helpen
Maak een afspraak bij Orthozorg
Zo werkt het:
Alle consulten, het echo-onderzoek en de injectieprocedure worden vergoed vanuit de basisverzekering.
U heeft wel een verwijzing van uw huisarts nodig.
Het wettelijk eigen risico van €385 (2026) is van toepassing, voor zover nog niet verbruikt.
Voor de bloedplasma-kit betaalt u een eigen bijdrage, afhankelijk van het systeem:
| Dr. PRP — 1 gewricht (ons standaardsysteem) | €0 |
| Dr. PRP — 2 gewrichten | €80 |
| Xerthra — 1 gewricht (premium) | €100 |
| Xerthra — 2 gewrichten (premium) | €200 |
| Angel-systeem Arthrex — 1 gewricht (premium) | €270 |
| Angel-systeem Arthrex — 2 gewrichten (premium) | €320 |
| ACP Arthrex — per gewricht (op verzoek) | €100 |
Let op: wij voeren bloedplaatjes behandelingen maximaal één keer per vier maanden uit.
Vragen over vergoeding? Bel 085-0471627 of mail info@orthozorg.nl
Bekijk alle tarieven van Orthozorg →
De meeste patiënten vallen het mee. We verdoven de huid lokaal, waarna u tijdens de injectie vooral wat druk voelt. Geen scherpe pijn.
De echogeleiding zorgt dat de naald in één keer op de juiste plek zit.
De eerste 24 tot 48 uur na de behandeling kunt u wat napijn of stijfheid ervaren.
Dat is normaal en een teken dat het herstelproces op gang is gekomen. Paracetamol helpt. Gebruik geen ibuprofen of diclofenac — die remmen het herstelproces.
In de meeste gevallen wel. De lokale verdoving heeft geen invloed op uw reactievermogen en u bent direct alert na de behandeling.
Uitzondering: bij een behandeling aan voet of enkel kan schakelen en remmen de eerste paar uur ongemakkelijk zijn. Overleg bij twijfel vooraf met de orthopeed en echografist.
Ja. Een bloedplaatjes injectie valt onder tweedelijnszorg. Zonder verwijzing van uw huisarts of medisch specialist kunnen wij u niet behandelen en wordt het consult niet vergoed.
De meeste huisartsen verwijzen digitaal via Zorgdomein. Binnen 24 uur bellen wij u voor een afspraak. U kunt meestal binnen één week terecht.
In de meeste gevallen wel. We passen de procedure aan voor extra veiligheid. Stop nooit zelfstandig met uw bloedverdunners. Overleg altijd eerst met uw voorschrijvend arts.
Gebruikt u coumarinederivaten zoals Acenocoumarol? Neem dan een recent lab-uitslagformulier mee. De INR-waarde moet onder de 3,0 zijn. Bij andere bloedverdunners zoals Xarelto of Eliquis is behandeling vrijwel altijd mogelijk zonder aanpassing.
Meld bij het maken van uw afspraak altijd dat u bloedverdunners gebruikt.
Lichte beweging zoals lopen en fietsen mag vanaf de eerste week. Sportspecifieke training adviseren we pas vanaf 12 weken.
Volledig terugkeren naar sport is bij de meeste patiënten mogelijk na 3 tot 6 maanden.
De gouden regel: beweeg op geleide van pijn. Pijn tijdens of na training betekent te vroeg.
Geen pijn na 48 uur betekent veilig verder opbouwen. Te snel is de belangrijkste oorzaak van tegenvallende resultaten.
Omdat het uw eigen bloed is, zijn ernstige bijwerkingen zeer zeldzaam.
De meest voorkomende reactie is napijn of stijfheid de eerste 24 tot 48 uur, bij 60 tot 70% van de patiënten.
Dat trekt vanzelf weg en is een teken dat het herstelproces werkt.
Een kleine bloeduitstorting of lichte zwelling rond de injectieplaats komt soms voor en is onschuldig. Infecties zijn uiterst zeldzaam dankzij strikte hygiëneprotocollen en echogeleiding.
Neem contact op bij toenemende roodheid, koorts of aanhoudende pijn na 48 uur.
Bij stadium 1 en 2 werkt het het beste — 60 tot 70% van de patiënten ervaart duidelijke verbetering.
Bij stadium 3 is het effect minder uitgesproken maar nog zinvol: 40 tot 50% merkt verbetering. Bij stadium 4, bot-op-bot contact, is het effect beperkt en adviseren we andere behandelingen.
Een bloedplaatjes injectie beschermt het kraakbeen dat er nog is. Hoe minder kraakbeen, hoe minder er te beschermen valt.
Bij Orthozorg beoordelen we met röntgen en echografie eerlijk of een behandeling bij uw situatie zinvol is.
Ja en nee. De NHG-standaard beschouwt een bloedplaatjes injectie als experimenteel voor de huisartsenpraktijk. Dat klopt voor de eerste lijn.
Zestig tot zeventig procent van de peesontstekingen geneest vanzelf met rust en fysiotherapie. Uw huisarts heeft vanuit zijn perspectief gelijk.
Voor orthopeden is het anders. Wij zien alleen patiënten bij wie conservatieve behandeling na 3 tot 6 maanden onvoldoende heeft geholpen.
Bij die groep is een bloedplaatjes injectie een geaccepteerde behandeling met bewezen resultaat. Verzekeraars vergoeden het consult en de procedure dan ook.
Heeft u al langer dan 3 maanden klachten die niet overgaan? Dan bent u precies de patiënt bij wie een bloedplaatjes injectie zinvol is.
