Snel van uw pijn af? Binnen 1 week een afspraak bij onze orthopedisch specialisten op 10 locaties.

Orthozorg (v/h Echozorg) Specialist in Orthopedie
Afspraak Binnen één Week bij 10 Locaties

Orthozorg (voorheen Echozorg)
  • Home
  • Aandoeningen
    • Schouder
      • Slijmbeursontsteking schouder
      • Frozen Shoulder
      • Tendinitis calcarea
      • Peesontsteking schouder
      • Artrose schouder
      • Cuff ruptuur
      • Artrose AC gewricht
      • Biceps Tendinitis
    • Elleboog
      • Tennisarm
      • Golferselleboog
      • Slijmbeurs-ontsteking elleboog
    • Pols en hand
      • Quervain
      • Triggervinger
      • Artrose duim
      • Ganglion pols
    • Heup
      • Slijmbeurs-ontsteking heup
    • Knie
      • Artrose knie
      • Jumpers knee
      • Osgood Schlatter
    • Voet en enkel
      • Achillespees ontsteking
      • Hielspoor
      • Mortons neuroom
      • Peesplaatontsteking
  • Behandelingen
    • Echografie
    • Echogeleide injectie
    • Cortisone injectie
    • Hyaluronzuur injectie
    • ACP injectie
    • Barbotage
    • Shockwave therapie
  • Over ons
    • Meest gestelde vragen
    • Vestigingen
    • Tarieven en vergoedingen
    • Rekening
    • Verwijzers
    • Reviews
    • Geef een review
    • Klachten en privacy
  • Contact
  • Menu Menu

AC gewricht

AC artrose

AC gewricht artrose - pijn boven op de schouder tussen sleutelbeen en schouderdak

Herkent u deze klachten?

  • Een pijnlijke plek boven op uw schouder?
  • Een tas over de schouder dragen doet pijn?
  • Een ‘uitstraling’ naar de nek of de bovenarm?

Grote kans dat u last heeft van het AC gewricht.

Gaan de klachten niet weg? Maak dan een afspraak bij Orthozorg.

Bel nuContact
Bel nuContact
List List Menu
  • Wat is het AC gewricht?
  • Diagnose en onderzoek
  • Behandeling
  • Injectie
  • Operatie
  • FAQ

Pijn boven op de schouder is een veelvoorkomende klacht. Vaak is het AC gewricht de oorzaak.

Dit kleine gewrichtje tussen sleutelbeen en schouderdak slijt met de jaren. Dat is normaal, maar niet iedereen krijgt er klachten van.

Bij beginnende klachten helpen rust, paracetamol en ontstekingsremmers. Een behandeling begint gewoonlijk bij de fysiotherapeut.

Heeft u dit al geprobeerd? Maar houdt u klachten?

Dan is het verstandig om uw schouder te laten onderzoeken. Hoewel slijtage van het AC gewricht niet te genezen is, zijn de pijnklachten wél goed te behandelen.

Meestal met een cortisone-injectie, bij sommige mensen uiteindelijk met een operatie. Welke behandeling voor u zinvol is, hangt af van de pijn en hoe ver de artrose is gevorderd.

Eerst zien, dan behandelen

Dat is het motto van Orthozorg, een polikliniek voor orthopedie. We zijn gespecialiseerd in het onderzoeken en behandelen van schouderklachten. Sinds 2012.

U wordt bij Orthozorg altijd gelijktijdig onderzocht door een orthopeed én echografist. Met echografie zien we of er ontsteking is in het gewricht. Met een röntgenfoto zien we hoe ver de slijtage is gevorderd.

Kunnen we de pijnklachten direct behandelen, dan doen we dat tijdens het eerste consult. U heeft snel minder pijn.

Op deze pagina leest u wat het AC gewricht is, hoe we de juiste diagnose stellen en welke behandelingen of operaties mogelijk zijn.

Maak een afspraak bij Orthozorg

Binnen één week geholpen. Op verwijzing van uw huisarts.

Vergoed vanuit de basisverzekering. Geen eigen bijdrage, wel eigen risico.

Bel nuContact
Bel nuContact

AC gewricht in het kort

  • Wat is het: artrose (slijtage) van het AC gewricht, het kleine gewrichtje boven op de schouder tussen sleutelbeen en schouderdak
  • Klachten: pijn boven op de schouder, vooral bij druk, bovenhands werk en bewegingen dwars over het lichaam
  • Komt vaak voor: 75% van alle mensen boven de 40 heeft tekenen van AC artrose op beeldvorming, maar lang niet iedereen heeft klachten
  • Behandeling: belasting aanpassen, pijnstillers, echogeleide cortisone-injectie. Bij onvoldoende effect een operatie (90% succesvol)
  • Bij Orthozorg: binnen één week onderzocht met echo én röntgen, vaak al behandeld tijdens het eerste consult

Orthozorg - Eerst zien, dan behandelen

“Eerst zien, dan behandelen.” Dat is het motto van Orthozorg.

Orthozorg is een orthopedische polikliniek met 10 vestigingen in Nederland. Sinds 2012 behandelen we jaarlijks 5.000 patiënten met schouder-, elleboog-, knie- en voetklachten.

Wat ons onderscheidt: u wordt altijd onderzocht door een orthopeed én een echografist, tijdens hetzelfde consult. Geen doorverwijzing, geen wachten op een apart onderzoek. We stellen de diagnose en behandelen vaak op dezelfde dag.

Dat kunnen we omdat we de beeldvorming zoveel mogelijk in eigen hand hebben. Op de echo, de röntgenfoto of de MRI. Want wij hebben de patiënt onderzocht.

Orthozorg heette vroeger Echozorg. Opgericht door echografist Robert de Zoete, begonnen met één echo op de Hoornse Geldelozeweg.

Inmiddels hebben we alle orthopedische beeldvorming in huis, inclusief een eigen mobiele MRI-, röntgen- en echobus.

De Orthozorg Mobiele Eenheid: een eigen bus uitgerust met MRI, röntgen en echografie voor orthopedisch onderzoek op locatie

De naam veranderde. Ons hart voor echografie niet. We zeggen het nog steeds dagelijks tegen onze patiënten: Eerst Een Echo.

Deze pagina is geschreven door Pieter Schillemans (orthopedisch chirurg NP) & Robert de Zoete (echografist). Medisch eindverantwoordelijke: Ans Derks (medisch directeur ia). Laatste update: maart 2026.

Wat is het AC gewricht?

Het AC gewricht is een klein gewrichtje boven op de schouder.

Precies tussen het Acromion (een uitsteeksel van het schouderblad) en de Clavicula (het sleutelbeen). Vandaar de naam AC gewricht.

Het AC gewricht draagt de hele schouder, de arm en alles wat we vasthouden. Bij zwaar tillen of bankdrukken lopen er krachten van honderden kilo’s door dit kleine gewrichtje. Dat maakt het kwetsbaar voor slijtage.

In het gewricht zit een kraakbeenschijfje, vergelijkbaar met de meniscus in de knie. Dit schijfje vult de ruimte op tussen het sleutelbeen en het schouderdak en vangt schokken op.

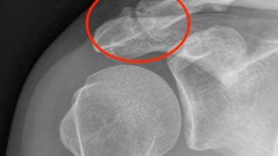
AC gewricht

Al rond uw 30e begint het kraakbeenschijfje te rafelen. Op röntgenfoto en MRI zien we bij 75% van de mensen boven de 40 tekenen van slijtage in het AC gewricht. Dat is het normale slijtageproces.

Slijtage van het AC gewricht betekent niet automatisch pijn. Veel mensen hebben artrose op de röntgenfoto zonder er ooit last van te hebben.

Wat doet het AC gewricht precies?

Het AC gewricht is het scharnierpunt tussen uw arm en uw romp.

Alle kracht die u met uw arm uitoefent, tillen, duwen, trekken, gooien, loopt via dit kleine gewrichtje naar de rest van het skelet.

Drie bewegingen in één gewrichtje

Het AC gewricht maakt drie bewegingen mogelijk: het sleutelbeen kan omhoog en omlaag bewegen, naar voren en naar achteren schuiven, en licht roteren.

Die combinatie is essentieel voor de volledige beweeglijkheid van de schouder. Zonder goed functionerend AC gewricht kunt u uw arm niet verder dan schouderhoogte optillen.

Passief gewricht, actieve belasting

Het AC gewricht heeft geen eigen spieren. Alle beweging is passief, aangedreven door de schouder- en nekspieren eromheen. Toch staat het voortdurend onder druk.

Bij zwaar tillen of bankdrukken lopen er krachten van honderden kilo’s door dit kleine gewrichtje. Dat verklaart waarom het zo gevoelig is voor slijtage.

Stabiliteit door banden, niet door spieren

Twee groepen banden houden het AC gewricht stabiel. De AC-banden boven op het gewricht zorgen voor stabiliteit van voor naar achter.

De coracoclaviculaire banden iets verderop voorkomen dat de schouder naar beneden zakt. Bij een val op de schouder kunnen deze banden scheuren. Dat noemen we een AC luxatie.

AC artrose

De meest voorkomende oorzaak van pijn in het AC gewricht is artrose — slijtage van het kraakbeen.

Bij artrose wordt het kraakbeen dunner en onregelmatiger. De botdelen van het gewricht komen steeds dichter tegen elkaar te staan en er ontstaat meer wrijving.

Bij ernstige artrose is het kraakbeen vrijwel verdwenen. Het sleutelbeen en schouderdak schuren dan bot op bot.

AC gewricht artrose en peesontsteking

Het lichaam reageert met extra botaangroei (osteofyten) — het gewricht wordt dikker en het lijkt alsof het sleutelbeen uitsteekt.

Die botwoekeringen kunnen ook naar beneden groeien, richting de schouderpezen. Dat is een van de redenen waarom we bij AC gewricht klachten vaak een röntgenfoto combineren met een echo.

Wat gebeurt er bij AC artrose?

Het kraakbeen slijt

In een gezond AC gewricht zorgt het kraakbeen ervoor dat het sleutelbeen en schouderdak soepel over elkaar kunnen bewegen. Bij artrose wordt dit kraakbeen dunner en onregelmatiger. Er ontstaat meer wrijving.

Bij ernstige artrose is het kraakbeen vrijwel verdwenen. Het sleutelbeen en schouderdak schuren dan bot op bot. Het lichaam reageert met botwoekeringen (osteofyten) die het gewricht dikker en stijver maken.

osteofyten AC gewricht

Waarom doet artrose pijn?

Kraakbeen heeft geen zenuwen. De slijtage zelf doet dus geen pijn. Daarom kunnen veel mensen met forse artrose op de röntgenfoto toch jarenlang klachtenvrij zijn.

Pijn ontstaat als het gewricht geïrriteerd raakt. Afbraakproducten van kraakbeen irriteren de binnenbekleding van het gewricht.

Het gewrichtskapsel zwelt op, er komt vocht vrij en er ontstaat een ontsteking. Die ontsteking noemen we artritis.

Dat verklaart waarom artroseklachten wisselend zijn. Geen ontsteking betekent weinig pijn.

Veel ontsteking betekent veel pijn. En het verklaart waarom een cortisone-injectie kan helpen: cortisone remt de ontsteking, niet de slijtage.

Botwoekeringen en de schouderpezen

Bij AC artrose groeien botwoekeringen vaak ook naar beneden, richting de ruimte waar de schouderpezen en slijmbeurs doorheen moeten glijden. Die botwoekeringen kunnen druk geven op de schouderpezen (rotator cuff) en een peesontsteking of slijmbeursontsteking veroorzaken.

Op een röntgenfoto is dat goed te beoordelen. Daarom combineren we bij AC gewricht klachten vrijwel altijd een echo met een röntgenfoto.

Symptomen AC artrose

De meeste pijnklachten bij AC artrose worden veroorzaakt door de ontsteking (artritis) die ontstaat als gevolg van de slijtage.

Niet de slijtage zelf, maar de reactie van het gewricht op die slijtage veroorzaakt de pijn.

Dat verklaart ook waarom de klachten wisselend zijn. Weinig ontsteking betekent weinig pijn. Veel ontsteking betekent veel pijn.

AC gewricht ontsteking symptomen

Pijn boven op de schouder is de meest kenmerkende klacht. Precies op de plek waar het sleutelbeen en het schouderdak samenkomen.

De pijn wordt erger bij bewegingen dwars over het lichaam: de autogordel pakken, een jas aantrekken of de arm naar de andere schouder brengen. Ook werkzaamheden boven schouderhoogte doen pijn.

Andere veelvoorkomende klachten:

  • Drukpijn boven op de schouder (schoudertas, bh-bandje, op de zij slapen)
  • Uitstraling naar de nek of de bovenarm
  • Een zwelling of bult boven op de schouder
  • Een knakkend of krakend gevoel bij het bewegen
  • Stijfheid die erger is na rust en beter wordt bij licht bewegen
💡 AC gewricht of slijmbeurs of schouderpezen? Bij een peesontsteking of slijmbeursontsteking zit de pijn meer aan de zijkant van de schouder en in de bovenarm. Bij het AC gewricht zit de pijn boven óp de schouder. In de praktijk overlappen de klachten regelmatig.

Wat is die bult boven op mijn schouder?

Een harde zwelling boven op de schouder is vaak een teken van AC artrose.

Door slijtage van het kraakbeen reageert het lichaam met extra botaangroei (osteofyten).

Die botwoekeringen maken het AC gewricht dikker en zichtbaar groter. Het lijkt alsof het sleutelbeen uitsteekt.

bult op de schouder

Soms is de zwelling pijnlijk bij aanraking, soms zit het vooral in de weg bij het dragen van een tas of rugzak.

Een bult boven op de schouder kan ook wijzen op een AC luxatie — een verschuiving van het sleutelbeen na een val.

Bij een luxatie steekt het sleutelbeen duidelijk omhoog.

Dit noemen we het pianotoetsfenomeen: u kunt het sleutelbeen als een toets indrukken en het veert weer terug.

Het verschil is op een röntgenfoto direct te zien. Bij artrose ziet u botwoekeringen. Bij een luxatie ziet u een verschoven sleutelbeen.

Hoelang houden AC klachten aan?

Dat hangt sterk af van de oorzaak.

Ontsteking (artritis)

Een acute ontsteking in het AC gewricht kan hevig zijn, maar is vaak binnen enkele weken te behandelen. Een cortisone-injectie geeft meestal snel verlichting. Bij sommige patiënten is de ontsteking daarmee definitief verdwenen. Bij anderen komt de pijn na weken tot maanden terug.

Luxatie (verschuiving na een val)

Bij een lichte luxatie (graad I-II) zijn alleen de banden opgerekt. De klachten nemen meestal binnen 6 tot 12 weken af. Bij een ernstige luxatie met gescheurde banden kan een operatie nodig zijn.

Artrose (slijtage)

AC artrose is chronisch. De slijtage gaat niet meer weg. Maar de klachten hoeven niet permanent te zijn.

Veel patiënten hebben periodes met pijn, afgewisseld met rustige periodes. De pijn wordt vaak erger bij overbelasting of bij koud en vochtig weer.

Cortisone-injecties geven bij artrose gemiddeld enkele weken verlichting. Bij sommige patiënten maanden.

Maar de injectie verandert het slijtageproces niet. Blijft de pijn terugkomen ondanks injecties?

Dan kan een operatie een optie zijn. Het succespercentage is circa 90%.

Maar wees u bewust: een geopereerde schouder wordt nooit meer helemaal dezelfde als voorheen.

Goed om te weten: Fysiotherapie heeft bij geïsoleerde AC artrose helaas minder effect dan bij andere schouderaandoeningen. Houding verbeteren en de schouderspieren trainen kan wel helpen om de belasting op het AC gewricht te verminderen.

Hoe ontstaat AC artrose?

AC artrose heeft meestal geen duidelijke oorzaak. Het is een normaal slijtageproces dat bij vrijwel iedereen optreedt, maar niet iedereen krijgt er klachten van.

Toch zijn er factoren die het risico op klachten vergroten. Mensen met bovenhands werk of bovenhandse sporten lopen meer risico.

Ook een slechte houding of een eerdere val op de schouder kunnen later klachten veroorzaken.

Overbelasting en slechte houding

Veel patiënten weten niet hoe ze aan een pijnlijk AC gewricht komen.

Langdurig bovenhands werken, zwaar tillen of veel achter de computer zitten kan het AC gewricht overbelasten.

Door afhangende schouders ontstaat er meer druk op het gewricht. Mensen met een te veel gebogen bovenrug hebben daardoor sneller last.

Gewichtheffers en sporters die veel bankdrukken lopen extra risico.

De hoge krachten op het kleine gewricht kunnen leiden tot botafbraak aan het uiteinde van het sleutelbeen (osteolyse). Dit komt vooral voor bij jongere sporters.

Ook beroepen met veel bovenhandse belasting, zoals schilders, stukadoors en monteurs, geven een verhoogd risico.

Val of trauma (AC luxatie)

Een val op de schouder of op een uitgestrekte hand kan het kraakbeen in het AC gewricht beschadigen.

Bij een kneuzing of verstuiking van het AC gewricht worden niet alleen de banden opgerekt. Ook het kraakbeenschijfje in het gewricht kan scheuren of beschadigen. Vergelijkbaar met een meniscusscheur in de knie.

Het probleem: beschadigd kraakbeen herstelt niet. Een scheur of deuk in het kraakbeen blijft bestaan. Daardoor ontstaat op die plek meer wrijving tussen het sleutelbeen en het schouderdak. Het gewricht slijt sneller dan normaal.

Dat verklaart waarom klachten soms pas jaren na het oorspronkelijke letsel ontstaan. Onderzoek toont dat bij 42% van de patiënten met een graad II verstuiking later artroseklachten ontstaan.

AC-luxatie-indeling

Bij een ernstige ontwrichting (graad III en hoger) zijn de banden gescheurd en steekt het sleutelbeen omhoog. Dit noemen we een AC luxatie. Het risico op latere artrose is dan nog groter, omdat het gewricht niet meer stabiel is. Een instabiel gewricht slijt sneller.

Vooral wielrenners, mountainbikers en judoka’s lopen risico op een AC luxatie.

Erfelijke aanleg

Bij sommige mensen slijt het kraakbeen sneller dan bij anderen.

Dat is deels erfelijk bepaald. AC artrose komt in bepaalde families vaker voor.

Uw genen bepalen mede de kwaliteit van het kraakbeen, hoe snel het slijt en hoe goed het herstelt. Als meerdere familieleden artrose hebben, is de kans groter dat u het ook krijgt.

Diagnose en onderzoek

De diagnose AC artrose is meestal gemakkelijk te stellen. Patiënten klagen over een pijnlijke plek boven op de schouder.

Toch worden AC gewricht klachten regelmatig over het hoofd gezien. Want de symptomen lijken soms op een peesontsteking, slijmbeursontsteking of soms een beginnende frozen shoulder.

Met alleen een lichamelijk onderzoek is het onderscheid niet altijd te maken.

Daarom onderzoeken we bij Orthozorg elke patiënt met schouderklachten met echografie én soms met röntgen.

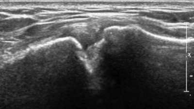
Echografisch onderzoek van het AC gewricht: de echokop wordt boven op de schouder geplaatst ter hoogte van het sleutelbeen om het gewricht in beeld te brengen

Is het nog steeds niet duidelijk óf de schouderpijn uit het AC gewricht komt?

Dan voeren we een echogeleide proefinjectie uit om de diagnose met zekerheid te stellen.

Wat zien we op een echo?

Met echo kunnen we de weke delen van het AC gewricht goed in beeld brengen.

We beoordelen het gewrichtskapsel, de gewrichtsbanden en de bovenkant van het gewricht waar vaak botwoekeringen ontstaan. Ook kunnen we zien of er sprake is van vocht of een ontsteking in het gewricht.

Maar de echo vertelt meer dan alleen het AC gewricht. Tijdens hetzelfde onderzoek bekijken we ook de structuren eronder: de schouderpezen en de slijmbeurs.

Echo AC gewricht Artrose

We kunnen ook beide schouders vergelijken. Is het AC gewricht aan de pijnlijke kant duidelijk dikker of meer ontstoken dan aan de andere kant? Dan is dat een sterke aanwijzing.

Regelmatig zien we een gemengd beeld: AC gewricht klachten in combinatie met een slijmbeurs- of peesontsteking. De echo helpt ons om te onderscheiden wat er allemaal speelt.

⚠️ Let op: Of botwoekeringen aan de onderkant van het AC gewricht druk geven op de rotator cuff is op een echo niet te beoordelen. Daarvoor is een röntgenfoto nodig.

Wanneer een röntgenfoto?

Een röntgenfoto is bij AC gewricht klachten vaak het meest informatieve onderzoek voor de botstructuur.

We zien de gewrichtsspleet (versmald bij artrose), botwoekeringen aan de boven- én onderkant van het gewricht, en eventuele kalkafzettingen.

AC gewricht artrose rontgen

Ook een luxatie of oude fractuur is direct te herkennen.

Waarom de onderkant belangrijk is

Bij AC artrose groeien botwoekeringen vaak naar beneden, richting de ruimte waar de schouderpezen en slijmbeurs doorheen moeten glijden.

Op een röntgenfoto zien we of die botwoekeringen de ruimte voor de schouderpezen (rotator cuff) verkleinen. Dat is op een echo niet te beoordelen.

AC gewricht artrose en pessontsteking

Dit is essentieel voor het behandelplan. Is er alleen artrose boven in het gewricht? Dan volstaat vaak een injectie.

Geven botwoekeringen aan de onderkant ook druk op de pezen? Dan speelt er meer en moet de behandeling daarop worden aangepast.

De beperking van röntgen

Weke delen zijn op een röntgenfoto niet zichtbaar. Het gewrichtskapsel, ontstekingsvocht en de schouderpezen zijn niet te beoordelen. Daarvoor is een echo nodig.

En artrose op een foto betekent niet automatisch klachten. Veel mensen boven de 40 hebben slijtage op de röntgenfoto zonder er ooit last van te hebben.

💡 Bij Orthozorg: Röntgen toont het bot, echo toont de weke delen. Samen geven ze het complete beeld. Daarom combineren we bij AC gewricht klachten vrijwel altijd beide onderzoeken.

Wanneer is een MRI nodig?

Bij AC gewricht klachten is een MRI zelden het eerste onderzoek.

Echo en röntgen geven bij de meeste patiënten voldoende informatie.

Een MRI kan wel aanvullend zijn wanneer:

Als er twijfel blijft over de oorzaak van de klachten ondanks echo en röntgen. We een peesscheur vermoeden die mogelijk geopereerd moet worden.

Er sprake is van botoedeem in het sleutelbeen of het schouderdak — een teken van actieve ontsteking dat alleen op MRI zichtbaar is.

De valkuil van MRI bij het AC gewricht

Op een MRI wordt vrijwel altijd artrose in het AC gewricht gerapporteerd. Bij 75% van alle mensen boven de 40 — en bij 100% boven de 70 — toont de MRI tekenen van slijtage. Het risico is dat dit als de oorzaak van uw pijn wordt gezien, terwijl het een toevalsbevinding is.

AC gewricht artrose MRI

Onderzoekers adviseren daarom om MRI-bevindingen van AC artrose te beschrijven als “leeftijdsgebonden veranderingen” en de diagnose niet alleen op beeldvorming te baseren.

💡 Ons advies: Een MRI vragen we pas aan als echo en röntgen geen duidelijk beeld geven, of als we vermoeden dat er meer aan de hand is dan alleen het AC gewricht. In de meeste gevallen is een MRI bij AC klachten niet nodig.

Proefinjectie

Dit is de meest betrouwbare test bij twijfel.

We injecteren een kleine hoeveelheid verdovingsvloeistof (lidocaïne) echogeleid in het AC gewricht. Verdwijnt de pijn binnen enkele minuten? Dan weten we vrijwel zeker dat uw klachten uit het AC gewricht komen.

Blijft de pijn na de injectie bestaan? Dan ligt de oorzaak ergens anders — meestal in de rotator cuffpezen of de slijmbeurs. Ook dat is waardevolle informatie, want dan hoeven we het AC gewricht niet te behandelen.

Bij een gemengd beeld — AC gewricht klachten in combinatie met pees- of slijmbeursklachten — kunnen we ook een proefinjectie in de slijmbeurs geven. Zo ontrafelen we stap voor stap waar de pijn vandaan komt.

💡 Bij Orthozorg: De proefinjectie voeren we altijd echogeleid uit. Het AC gewricht is klein — zonder echo is de kans groot dat de naald ernaast gaat. Bij ons weet u vaak binnen één consult wat de oorzaak van uw schouderpijn is.

Bij Orthozorg wordt u altijd gelijktijdig onderzocht door een orthopeed én een echografist

Zo komen we snel tot een goede diagnose. U heeft snel duidelijkheid.

Bel nuContact
Bel nuContact

Behandeling AC artrose

Veel patiënten vragen: “Wat is de beste behandeling voor mijn AC gewricht?”

Dat hangt af van de pijn, de ernst en hoe ver de slijtage is gevorderd.

De pijn wordt niet veroorzaakt door de slijtage zelf, maar door de ontsteking die de slijtage uitlokt. Dat is het aangrijpingspunt van de behandeling. Cortisone remt die ontsteking. Geen ontsteking betekent geen pijn.

Bij Orthozorg behandelen we AC artrose stapsgewijs:

  • Stap 1: belasting aanpassen, pijnstillers en fysiotherapie
  • Stap 2: echogeleide cortisone-injectie in het AC gewricht – de meest effectieve niet-operatieve behandeling
  • Stap 3: een operatie als alle behandelingen en injecties onvoldoende helpen – succespercentage circa 80%

Veel patiënten zijn na één of twee injecties jarenlang klachtenvrij. Voor een enkeling is een operatie uiteindelijk de beste oplossing.

Wat kunt u zelf doen?

Bij AC artrose kunt u zelf veel doen om de klachten te verminderen.

Soms is dat voldoende en is een injectie niet nodig.

Belasting verminderen

Het AC gewricht wordt het zwaarst belast bij bovenhandse bewegingen en bij handelingen dwars over het lichaam. Door deze bewegingen te vermijden, geeft u het gewricht rust. Het kan enkele weken duren voordat u hiervan effect merkt.

  • Vermijd bovenhands werk en tillen boven schouderhoogte
  • Geen zware drukoefeningen zoals bankdrukken of push-ups
  • Vermijd bewegingen dwars over het lichaam (autogordel, jas aantrekken)
  • Probeer niet op de pijnlijke schouder te slapen

Houding verbeteren

Als de schouderbladen te ver voorover hangen, komt er meer druk op het AC gewricht. Let op een rechte houding met de schouders naar achteren, vooral bij langdurig zitten of staan. Een fysiotherapeut kan u hierbij helpen.

Pijnstillers

Begin met paracetamol. Vaak is de maximaal veilige dosis (3 keer per dag 1000 mg) nodig om voldoende effect te hebben.

Helpt paracetamol onvoldoende? Dan kan uw huisarts een ontstekingsremmer voorschrijven, zoals naproxen of ibuprofen. Deze medicijnen (NSAID’s) remmen de ontsteking in het gewricht, maar hebben bijwerkingen. Gebruik ze altijd in overleg met uw huisarts.

Fysiotherapie

Bij veel schouderaandoeningen is fysiotherapie een belangrijke behandeling. Bij AC artrose is het effect helaas beperkter.

Oefeningen kunnen het kraakbeen niet herstellen en de botwoekeringen niet verwijderen.

Waar een fysiotherapeut wél bij kan helpen: houding verbeteren, de schouderspieren trainen om de belasting op het AC gewricht te verminderen, en advies over welke bewegingen u beter kunt vermijden.

Kunt u het erger maken? De slijtage zelf maakt u niet snel erger. Maar de pijnklachten wel, vooral door het AC gewricht te blijven overbelasten met bovenhands werk of zware sportoefeningen.

Wanneer naar de huisarts of orthopeed?

Dat hangt af van hoe lang u al klachten heeft en hoe ernstig ze zijn.

Korter dan 6 weken klachten?

Begin met rust, belasting aanpassen en paracetamol. Vermijd bovenhands werk en zware drukoefeningen. Veel mensen herstellen vanzelf.

Langer dan 6 weken, of dagelijks hinder?

Bespreek het met uw huisarts. Een echogeleide cortisone-injectie in het AC gewricht is dan vaak de volgende stap. De meeste patiënten hebben binnen enkele dagen duidelijk minder pijn.

Klachten die ondanks injecties terugkomen?

Dan is er waarschijnlijk meer aan de hand. Een operatie kan dan in beeld komen. Vraag een verwijzing naar de orthopeed voor verder onderzoek.

💡 Bij Orthozorg: U wordt binnen één week gezien door een orthopeed én echografist. We stellen direct de juiste diagnose en kunnen u vaak tijdens het eerste consult al echogeleid behandelen.

Injectie AC gewricht

Houdt de pijn aan ondanks rust en pijnstillers? Dan is een echogeleide cortisone-injectie in het AC gewricht vaak de volgende stap.

Cortisone geneest geen artrose. Het remt de ontsteking die de pijn veroorzaakt. Geen ontsteking betekent minder pijn.

Echografisch onderzoek van het AC gewricht: de echokop wordt boven op de schouder geplaatst ter hoogte van het sleutelbeen om het gewricht in beeld te brengen

De meeste patiënten ervaren binnen enkele dagen duidelijk minder pijn. Sommigen zijn na één injectie jarenlang klachtenvrij. Bij anderen komen de klachten terug — de injectie kan herhaald worden, maar maximaal 2 tot 3 keer per jaar.

Waarom echogeleid? Het AC gewricht is klein. Bij een blinde injectie raakt de naald het gewricht in slechts 40 tot 60% van de gevallen. Bij Orthozorg injecteren we altijd onder echogeleiding.

Cortisone-injectie bij AC artrose

Waarom echogeleid?

Het AC gewricht is een van de lastigste gewrichten om blind te injecteren. In onderzoek blijkt dat een blinde injectie het AC gewricht in slechts 40 tot 60% van de gevallen raakt. Zelfs bij ervaren artsen.

Dat betekent dat bij bijna de helft van de blinde injecties het medicijn naast het gewricht terechtkomt.

De patiënt merkt dan weinig effect en concludeert onterecht dat cortisone niet werkt.

Met echogeleiding volgen we de naald in real-time op het beeldscherm. De nauwkeurigheid stijgt naar vrijwel 100%.

Bij Orthozorg injecteren we het AC gewricht daarom altijd onder echogeleiding.

Wat kunt u verwachten?

  • Direct: minder pijn door de verdoving (lidocaïne).
  • Twee uur later: de verdoving is uitgewerkt, de pijn komt even terug.
  • Binnen 2 tot 3 dagen: de cortisone begint te werken.
  • Rond 2 weken: het volledige effect is bereikt.

Hoe lang werkt het?

Dat verschilt sterk per patiënt. In onderzoek varieerde de duur van enkele weken tot maanden. Bij ongeveer de helft van de patiënten werkt de injectie minstens een jaar goed.

Een 5-jaarstudie toonde aan dat het effect rond 12 maanden op zijn sterkst was en daarna geleidelijk afnam, maar zelfs na 5 jaar nog beter was dan voor de injectie.

Sommige patiënten zijn na één injectie definitief klachtenvrij. Bij anderen komen de klachten na enkele maanden terug. De injectie kan herhaald worden, maar we zijn voorzichtig: te veel cortisone kan het kraakbeen verder aantasten. Maximaal 2 tot 3 injecties per jaar.

Lees alles over cortisone injecties.

Dubbele functie: De eerste cortisone-injectie in het AC gewricht is bij Orthozorg altijd ook een diagnostische test. Verdwijnt de pijn direct na de verdoving? Dan weten we zeker dat het AC gewricht de bron van uw klachten is. Blijft de pijn? Dan ligt de oorzaak ergens anders en hoeven we het AC gewricht niet te behandelen.

Operatie

Een AC operatie is pas een optie als rust, injecties en andere behandelingen onvoldoende helpen.

De meest uitgevoerde operatie is de laterale clavicula resectie. Bij deze operatie wordt een klein stukje van het uiteinde van het sleutelbeen verwijderd.

Anatomische illustratie van een biceps tenodese: de lange bicepspees wordt met een schroef verankerd in de bovenarm, zodat de pees niet meer in het gootje schuurt

Daarna maken het sleutelbeen en het schouderdak geen contact meer. De wrijving verdwijnt. En daarmee de pijn.

Het is een succesvolle operatie: circa 80% van de patiënten is na drie maanden klachtenvrij.

Meer weten? Lees alles over de operatie op onze pagina laterale clavicula resectie.

Goed om te weten: Een geopereerde schouder wordt nooit meer helemaal dezelfde als voorheen. Met name bij bovenhandse sporten, krachttraining en zwaar werk kunnen lichte beperkingen blijven.
Korte lijnen bij Orthozorg: Verwijzen we door voor een operatie? Dan kunt u snel terecht bij onze collega Maarten de Vos, gespecialiseerd in schouderchirurgie.

Laterale clavicula resectie

Wat gebeurt er bij de operatie?

De chirurg verwijdert ongeveer 0,6 tot 1 centimeter van het uiteinde van het sleutelbeen. Daardoor ontstaat een kleine ruimte tussen het sleutelbeen en het schouderdak. De botten raken elkaar niet meer aan.

laterale clavicularesectie

De operatie wordt meestal uitgevoerd via een kijkoperatie (arthroscopie). Het voordeel: de chirurg kan tijdens dezelfde ingreep de ruimte onder het schouderdak beoordelen. Als daar botwoekeringen druk geven op de schouderpezen, kunnen die in dezelfde operatie worden verwijderd.

Wanneer komt een operatie in beeld?

  • Cortisone-injecties geven onvoldoende of steeds korter durend effect
  • De klachten beperken uw dagelijks functioneren of sport
  • Andere behandelingen (pijnstillers, belasting aanpassen) helpen niet

Herstel

De meeste patiënten kunnen de schouder na enkele weken weer licht gebruiken. Volledig herstel duurt gemiddeld 3 maanden.

Mogelijke complicaties

Hoewel de laterale clavicula resectie een succesvolle operatie is, zijn er risico’s. De meest voorkomende complicatie is aanhoudende pijn of gevoeligheid op de plek van de operatie.

Bij ongeveer 3% van de patiënten ontstaat botnieuwvorming (heterotope ossificatie) op de plek waar het bot is verwijderd. Een deel van deze patiënten heeft een heroperatie nodig.

Andere mogelijke complicaties zijn stijfheid van de schouder, instabiliteit van het resterende gewricht (als er te veel bot is verwijderd), of een wondinfectie.

De kans op complicaties is kleiner bij een kijkoperatie dan bij een open operatie.

Meer weten over de operatie, het herstel en de risico’s? Lees verder op de pagina laterale clavicula resectie.

Binnen één week geholpen

Genoeg van de schouderpijn?

Laten we kijken wat we voor u kunnen doen.

Maak een afspraak bij Orthozorg

Zo werkt het:

  1. Verwijzing: vraag uw huisarts om een verwijzing orthopedie naar Orthozorg
  2. Contact: wij bellen u binnen 24 uur voor een afspraak
  3. Consult: binnen één week, op een van onze 10 locaties
  4. Behandeling: vaak al tijdens het eerste consult met een echogeleide injectie in het AC gewricht

Vergoed vanuit de basisverzekering. Geen eigen bijdrage, wel eigen risico.

Bel nuContact
Bel nuContact

Veel gestelde vragen – FAQ

Helpt hyaluronzuur bij AC gewricht artrose?

Mogelijk, maar de wetenschappelijke onderbouwing is beperkt. We zijn daar eerlijk over.

Hyaluronzuur is een lichaamseigen stof die voorkomt in gewrichtsvloeistof. Het werkt als smeermiddel en schokdemper.

Bij artrose neemt de kwaliteit van de gewrichtsvloeistof af. Een injectie vult dat tekort aan.

Bij grotere gewrichten zoals de knie is hyaluronzuur uitgebreid onderzocht, met wisselende resultaten.

Voor het AC gewricht ontbreken goede studies vrijwel volledig. De meest recente richtlijnen concluderen dat er onvoldoende bewijs is voor hyaluronzuur bij AC artrose.

In onze praktijk zien we wisselende resultaten. Bij sommige patiënten helpt het, bij anderen merken ze er weinig van.

We overwegen het als cortisone onvoldoende helpt of als u liever geen cortisone wilt.

Helpt PRP of ACP bij AC gewricht artrose?

Er is onvoldoende bewijs. Wij bieden deze behandeling niet standaard aan bij het AC gewricht.

PRP en ACP zijn injecties met uw eigen bloedplaatjes. Bij peesontstekingen werken bloedplaatjes-injecties goed.

Bij artrose in kleine gewrichten zoals het AC gewricht ontbreekt dat bewijs. Er zijn simpelweg te weinig goede studies gedaan.

Wij vinden het niet eerlijk om een behandeling aan te bieden waarvan we niet kunnen aantonen dat die werkt.

Heeft u hier vragen over? Bespreek het gerust tijdens uw consult.

Welke oefeningen helpen bij AC gewricht klachten

Bij AC artrose helpen oefeningen helaas minder dan bij andere schouderaandoeningen.

Oefeningen kunnen het kraakbeen niet herstellen en de botwoekeringen niet verwijderen.

Wat wél helpt: de schouderspieren trainen zodat de schouder stabieler wordt en er minder belasting op het AC gewricht komt.

Denk aan oefeningen voor de rotator cuff en de schouderbladspieren. Een fysiotherapeut kan u hierbij begeleiden.

Vermijd oefeningen die het AC gewricht belasten: bankdrukken, push-ups, dips en zwaar bovenhands tillen.

Deze oefeningen duwen het sleutelbeen tegen het schouderdak en verergeren de klachten.

Helpt tapen bij AC gewricht pijn?

Tape kan tijdelijk verlichting geven, maar lost het probleem niet op.

Kinesiotape kan de schouder ondersteunen en de druk op het AC gewricht iets verminderen.

Sommige patiënten ervaren hierdoor minder pijn bij dagelijkse activiteiten.

Tapen is geen behandeling voor AC artrose. Het kan wel helpen als tijdelijke ondersteuning, bijvoorbeeld tijdens het sporten of bij fysiek werk.

Een fysiotherapeut kan de tape op de juiste manier aanbrengen.

Ervaringen met AC gewricht behandeling

De ervaringen met behandeling van AC artrose lopen sterk uiteen.

Dat komt omdat het effect afhangt van de ernst van de slijtage, de mate van ontsteking en uw dagelijkse belasting.

Wat we in onze praktijk zien: veel patiënten ervaren na een cortisone-injectie snel minder pijn. Bij sommigen is dat effect blijvend, bij anderen tijdelijk.

Patiënten die hun belasting aanpassen en bovenhands werk vermijden, houden het langst profijt van een injectie.

Patiënten die uiteindelijk een operatie ondergaan zijn in circa 90% van de gevallen tevreden.

Maar het herstel duurt enkele maanden en de schouder wordt niet meer helemaal zoals voorheen.

Kan een overbelast AC gewricht herstellen?

Een overbelast AC gewricht kan herstellen, maar dat hangt af van de oorzaak.

Is er sprake van een irritatie of ontsteking door tijdelijke overbelasting?

Dan herstelt het gewricht meestal binnen enkele weken, mits u de belasting vermindert.

Is er sprake van artrose (kraakbeenslijtage)? Dan is de slijtage niet te herstellen.

Maar de pijnklachten nemen bij veel patiënten na verloop van tijd af. Het gewricht past zich aan en de ontsteking kan verdwijnen.

Hoe lang duurt het herstel van AC gewricht klachten?

Dat hangt af van de oorzaak en de behandeling.

Een acute ontsteking is vaak binnen enkele weken te behandelen met een cortisone-injectie.

Bij artrose zijn de klachten wisselend en kunnen ze maanden aanhouden. Veel patiënten hebben periodes met pijn, afgewisseld met rustige periodes.

Na een cortisone-injectie merkt u meestal binnen 2 tot 3 dagen verbetering. Na een operatie duurt volledig herstel gemiddeld 3 maanden.

Steekt uw sleutelbeen uit? Wanneer naar de dokter?

Een uitstekend sleutelbeen boven op de schouder kan twee oorzaken hebben.

Bij AC artrose ontstaan botwoekeringen (osteofyten) die het gewricht dikker maken.

Het sleutelbeen lijkt dan uit te steken. Dit ontwikkelt zich geleidelijk en is niet altijd pijnlijk.

Bij een AC luxatie is het sleutelbeen verschoven na een val of klap op de schouder.

Het sleutelbeen steekt duidelijk omhoog en u kunt het als een pianotoets indrukken.

Twijfelt u? Laat het beoordelen. Op een röntgenfoto is het verschil direct te zien.

Is AC artrose te voorkomen?

Volledig voorkomen is niet mogelijk, maar u kunt het risico verkleinen.

Let op uw houding: schouders naar achteren in plaats van voorover. Vermijd langdurig bovenhands werk zonder pauzes. Beperk zware drukoefeningen zoals bankdrukken als u al klachten heeft.

Bij een eerdere val op de schouder is het verstandig om de schouder goed te laten herstellen. Een slecht genezen verstuiking vergroot het risico op latere artrose.

Wat kost een behandeling van het AC gewricht?

Onderzoek en behandeling bij Orthozorg worden vergoed vanuit de basisverzekering.

U heeft een verwijzing orthopedie nodig van uw huisarts. Er is geen eigen bijdrage, wel is het eigen risico van toepassing.

Lees meer over tarieven en vergoedingen.

Contact

085 047 1627

Stuur een bericht

Reviews

Kosten en Vergoeding

Onderzoeken en behandelingen worden vergoed vanuit de basiszorg. Let op: U heeft een verwijzing orthopedie nodig van uw huisarts of specialist.

Vestigingen

    • Amsterdam
    • Zaandam
    • Purmerend
    • Hoorn
    • Heemskerk
    • Heerhugowaard
    • Houten
    • Woerden
    • Almelo
    • Deventer
    • Enschede

Over Orthozorg

Orthozorg (voorheen Echozorg) is een polikliniek voor orthopedie. U wordt altijd binnen één week onderzocht door een orthopeed en echografist. Zo komen wij zonder vertraging tot de juiste diagnose. Vaak kunnen we u tijdens het eerste consult al behandelen.

Aandoeningen

Schouder
Artrose AC gewricht
Artrose schouder
Biceps Tendinitis
Cuff ruptuur
Frozen Shoulder
Peesontsteking schouder
Slijmbeursontsteking schouder
Tendinitis calcarea

Elleboog
Golferselleboog
Slijmbeursontsteking elleboog
Tennisarm

Pols en hand
Artrose duim
Ganglion pols
Quervain
Triggervinger

Heup
Slijmbeursontsteking heup

Knie
Artrose knie
Jumpers knee
Osgood Schlatter

Voet en enkel
Achillespees ontsteking
Hielspoor
Mortons neuroom
Peesplaatontsteking

Behandelingen

Cortisone injectie
Hyaluronzuur injectie
ACP injectie
Echogeleide injectie
Barbotage
Shockwave therapie

Aangesloten bij

Verwijzers kunnen ons in ZorgDomein vinden onder Medisch specialistische zorg > Orthopedie > Gewrichtsaandoeningen

Vestigingen

Amsterdam, Zaandam, Purmerend, Hoorn, Haarlem, Heemskerk, Heerhugowaard, Houten, Woerden, Almelo, Deventer

Over ons

Contact
Vestigingen
Verwijzers
Meest gestelde vragen
Zorgkaart Nederland

Openingstijden

Ma. 8:30 – 17:00 uur
Di. 8:30 – 17:00 uur
Wo. 8:30 – 17:00 uur
Do. 8:30 – 17:00 uur
Vr. 8:30 – 17:00 uur

Scroll naar bovenzijde Scroll naar bovenzijde Scroll naar bovenzijde