Barbotage
Barbotage schouder | Kalk verwijderen | Tendinitis calcarea behandeling
Snel van uw pijn af? Binnen 1 week een afspraak bij onze orthopedisch specialisten op 10 locaties.
Orthozorg (v/h Echozorg) Specialist in Orthopedie
Afspraak Binnen één Week bij 10 Locaties
Barbotage schouder | Kalk verwijderen | Tendinitis calcarea behandeling

Bij sommige patiënten kan een barbotage uitkomst bieden.
Een barbotage is een behandeling waarbij met behulp van echografie kalk uit een schouderpees wordt gespoeld.
Zeven van de tien patiënten ervaart na een barbotage minder pijn.
Maar let op: een barbotage is geen wondermiddel.
Er blijven altijd kalkresten in de schouderpezen achter. Op langere termijn is de behandeling minder succesvol.
Orthozorg is een polikliniek voor orthopedie
We hebben veel ervaring met barbotage. Sinds 2012 behandelen we wekelijks patiënten met deze behandeling.
U wordt bij Orthozorg binnen één week onderzocht door een orthopeed/sportarts én een echografist.
Zij kunnen u goed adviseren of een barbotage voor uw schouderklachten de juiste behandeling is. Meestal kunnen we deze behandeling tijdens het eerste consult uitvoeren.
Op deze pagina leest u alles over de wat een barbotage is, hoe u herstelt van de behandeling, we het gebruiken en wat de voor- en nadelen zijn .
Een barbotage is een echogeleide naaldbehandeling waarbij kalk uit een schouderpees wordt weggespoeld en verwijderd.
Barbotage schouder in het kort
“Eerst zien, dan behandelen.” Dat is het motto van Orthozorg.
Orthozorg is een orthopedische polikliniek met 10 vestigingen in Nederland. Sinds 2012 behandelen we jaarlijks 5.000 patiënten met schouder-, elleboog-, knie- en voetklachten.
Wat ons onderscheidt: u wordt altijd onderzocht door een orthopeed én een echografist, tijdens hetzelfde consult. Geen doorverwijzing, geen wachten op een apart onderzoek. We stellen de diagnose en behandelen vaak op dezelfde dag.
Dat kunnen we omdat we de beeldvorming zoveel mogelijk in eigen hand hebben. Op de echo, de röntgenfoto of de MRI. Want wij hebben de patiënt onderzocht.
Orthozorg heette vroeger Echozorg. Opgericht door echografist Robert de Zoete, begonnen met één echo op de Hoornse Geldelozeweg.
Inmiddels hebben we alle orthopedische beeldvorming in huis, inclusief een eigen mobiele MRI-, röntgen- en echobus.

De naam veranderde. Ons hart voor echografie niet. We zeggen het nog steeds dagelijks tegen onze patiënten: Eerst Een Echo.
Deze pagina is geschreven door Pieter Schillemans (orthopedisch chirurg NP) & Robert de Zoete (echografist). Medisch eindverantwoordelijke: Ans Derks (medisch directeur ia). Laatste update: maart 2026.
Een barbotage is een echogeleide behandeling waarbij kalk uit een schouderpees wordt weggespoeld en verwijderd.
Met een naald prikken we onder echogeleiding de kalkafzetting aan. Door vloeistof onder druk in de kalk te spuiten wordt deze vloeibaar. Een deel spoelen we weg via de naald. De rest breekt het lichaam zelf af.

De behandeling duurt ongeveer 10 minuten. Aan het eind geven we een cortisone-injectie in de slijmbeurs om een ontsteking door losgeraakte kalkdeeltjes te voorkomen.
Het woord barbotage komt uit het Frans en betekent letterlijk geknoei.
En dat klopt: of de kalk zich makkelijk laat wegspoelen hangt af van hoe hard het is. Daarom beoordelen we altijd eerst op de echo wat voor type kalk u heeft.
U ligt op de rug of op de zij. De echografist brengt de kalkafzetting in beeld op de monitor.

Eerst geven we een verdoving (lidocaïne) in de slijmbeurs en rondom de kalkafzetting. Alleen deze prik is gevoelig. Daarna voelt u vrijwel niets meer.
We prikken de kalkafzetting echogeleid aan. Onder druk spuiten we vloeistof in de kalk om deze vloeibaar te maken.

Bij zachte kalk spoelt een groot deel bijna vanzelf in de spuit.

Bij harde kalk moeten we meer druk zetten. Soms is de kalk te hard om weg te spoelen. We breken de restanten dan met de naald zo veel mogelijk kapot. Het lichaam ruimt de brokjes verder op.
We eindigen altijd met een cortisone-injectie in de slijmbeurs. Tijdens de barbotage komen er kalkdeeltjes in de slijmbeurs terecht. Zonder cortisone kan dat een hevige slijmbeursontsteking veroorzaken.
Dit is ook de reden dat veel patiënten zich direct na de behandeling goed voelen. Dat effect komt van de cortisone, niet van het verwijderen van de kalk. Het werkelijke resultaat is pas na enkele weken te beoordelen.
De behandeling zelf is niet pijnlijk. Alleen de eerste verdovingsprik kan even gevoelig zijn.
Na de verdoving voelt u vrijwel niets meer. De meeste patiënten vinden het achteraf meevallen.
Na de behandeling krijgt u wel napijn. Dat is normaal, er is behoorlijk wat gebeurd in de pees.
Tijdens de barbotage komen er kalkdeeltjes in de slijmbeurs terecht die een ontsteking veroorzaken. Maar ook in de pees zelf ontstaat een reactie. Het lichaam start een herstelmechanisme om de achtergebleven kalkresten op te ruimen. Dat proces is pijnlijk en duurt enkele dagen tot een enkele weken. Soms langer.
De cortisone-injectie die we aan het eind geven dempt dit, maar neemt het niet helemaal weg.
Neem paracetamol. Helpt dat onvoldoende? Vraag uw huisarts om een recept voor een ontstekingsremmer.
Niet elke kalkafzetting is geschikt voor een barbotage. Het hangt af van het type kalk.
Op de echo beoordelen we de consistentie van de kalk. We onderscheiden drie typen:
Pasteus, zonder harde schil. Op de echo zichtbaar als een witte vlek zonder scherpe schaduw. Dit is de kalk die zich het beste laat wegspoelen. De beste kandidaat voor een barbotage.

Compact, met een sterke akoestische schaduw op de echo. Vergelijkbaar met schoolbordkrijt. Wegspoelen is lastig — we moeten meer druk zetten en de kalk met de naald verbrokkelen. Het resultaat is minder voorspelbaar.

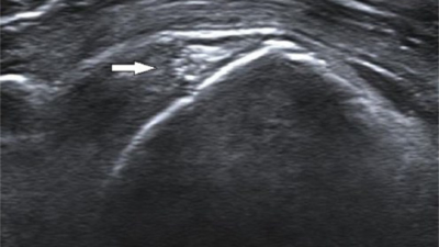
Verspreid door de pees, zonder duidelijke afgrensbare kern. Moeilijk aan te prikken omdat er geen centrale kalkhaard is. Een barbotage heeft hier het minste effect.

Op deze echo is boven de diffuse kalkafzetting ook een klein scheurtje in de pees zichtbaar. Dit komt regelmatig voor bij patiënten met kalk.
Niet elke patiënt met kalk in de schouder is geschikt voor een barbotage. Of de behandeling zinvol is, hangt in de eerste plaats af van het type kalk dat u heeft.
Wij beoordelen dit altijd eerst op de echo, voordat we een barbotage overwegen.
Diffuse kalk. Als de kalk verspreid door de pees zit zonder duidelijke kern, is barbotage niet mogelijk. Om te kunnen spoelen moet u druk kunnen opbouwen in het kalkdepot.

Bij diffuse kalk ontbreekt die begrenzing. Er is geen centrale kalkhaard om aan te prikken, en er is geen schil om druk tegenaan op te bouwen.
Zeer harde kalk met sterke akoestische schaduw. Bij harde, compacte kalk is het spoelen lastig en het resultaat minder voorspelbaar. We kunnen de kalk verbrokkelen met de naald, maar de losgeslagen brokjes verspreiden zich dan door de pees en de slijmbeurs.

Dat kan langdurige klachten geven. Soms kiezen we in dit geval bewust voor een cortisone-injectie of shockwave als betere eerste stap.
Kleine, asymptomatische kalk. Als de kalk weinig klachten geeft en de pees niet actief ontstoken is, is afwachten verstandiger. Kalk lost bij 30% van de patiënten vanzelf op.
Actieve infectie of ernstige systemische infectie. Een barbotage is een invasieve procedure. Bij een actieve infectie op of rondom de schouder, of bij een ernstige systemische infectie, voeren we de behandeling niet uit.
Volledige rotatorcuffscheur in het behandelgebied. Bij een volledige peesscheur in de betrokken pees is barbotage niet zinvol. De pees is mechanisch te ernstig aangetast.
Roken. Roken vertraagt weefselherstel en verhoogt de kans op aanhoudende klachten na de behandeling. Onderzoek van Oudelaar et al. toont aan dat roken een negatieve prognostische factor is voor het resultaat van barbotage.
Kalkafzettingen in beide schouders Bij kalk in beide schouders is het herstel minder voorspelbaar. We behandelen altijd één schouder tegelijk.
Zwangerschap. Uit voorzorg voeren we geen barbotage uit tijdens de zwangerschap.
Tendinitis calcarea is de medische term voor een kalkafzetting in een schouderpees.
Bij ongeveer een kwart van alle patiënten met schouderklachten wordt kalk gevonden. Meestal in de supraspinatuspees.
De kalk kan jarenlang aanwezig zijn zonder klachten. Maar als de afzetting groeit of begint op te lossen, kan de pijn hevig zijn. Bij ongeveer 30% lost de kalk vanzelf op. Bij de rest blijft de kalk zitten.
Lees alles over oorzaken, diagnose en behandeling op onze pagina tendinitis calcarea.
Na een barbotage mag u de schouder voorzichtig bewegen. Maar forceer niet.
Het liefst de eeste weken geen handelingen boven schouderhoogte. Niet zwaar tillen, geen verhuisdozen sjouwen, geen ramen lappen.
Gun uw schouder de tijd. De pees waaruit kalk is verwijderd heeft maanden nodig om helemaal te herstellen.
Na ongeveer 12 weken zien we u terug voor een controle.
We willen weten hoe het met u gaat en maken een echo om te bekijken of de kalkhaard kleiner is geworden en hoe de pees eruit ziet.
Op basis daarvan bespreken we het vervolg.
Napijn en een blauwe plek zijn de meest voorkomende bijwerkingen.
De napijn kan enkele dagen tot twee weken aanhouden. Dat is normaal, het lichaam is de achtergebleven kalkresten aan het opruimen.
Neem paracetamol tegen de pijn. Helpt dat onvoldoende? Vraag uw huisarts om een ontstekingsremmer.
U kunt ook bijwerkingen ervaren van de cortisone-injectie die we aan het eind van de behandeling geven.
Lees alles hierover op de pagina cortisone-injectie.
In zeldzame gevallen kan na een barbotage een frozen shoulder ontstaan. De schouder wordt dan steeds stijver en pijnlijker. Dit is een bekende complicatie bij schouderbehandelingen. We houden het daarom in de gaten bij uw controle.
Bij elke injectie bestaat een kleine kans op infectie. Krijgt u na de behandeling koorts of wordt de schouder rood en warm? Neem dan direct contact op.
Direct na de behandeling kunt u slingeroefeningen doen. Deze houden de schouder soepel en voorkomen dat hij stijf wordt.
Spierversterkende oefeningen komen pas later. De pees moet eerst herstellen voordat u gaat belasten.
Te vroeg te veel doen kan het herstel vertragen.
Wilt u gerichte oefeningen? Laat u begeleiden door een fysiotherapeut. Die kan het tempo afstemmen op uw herstel.
Dat hangt af van de belasting op uw schouder.
Licht bureauwerk kunt u na een paar dagen hervatten. Fysiek werk met de armen boven schouderhoogte pas na enkele weken, afhankelijk van de napijn.
Sporten zonder schouderbelasting (wandelen, fietsen) kan meestal snel.
Contactsporten, zwemmen en krachttraining pas na overleg met uw behandelaar. Reken op minimaal 12-24 weken voordat u de schouder weer volledig kunt belasten.
Het grootste voordeel is dat de oorzaak wordt aangepakt. Niet de pijn bestrijden, maar de kalk verwijderen.
Een kalkafzetting kan behoorlijk in de weg zitten tussen de schouderkop en het schouderblad. Door de kalk te verwijderen raakt ook de slijmbeurs minder ingeklemd.
Een barbotage klinkt eenvoudiger dan het is. Er blijven altijd kalkresten achter die een lichte ontsteking kunnen onderhouden.
De schouder is maanden minder belastbaar. En het goede gevoel direct na de behandeling komt grotendeels door de cortisone — niet door het verwijderen van de kalk.
De meeste patiënten ervaren na een barbotage minder pijn. Maar wat dat resultaat verklaart, is genuanceerder dan het lijkt.
Elke barbotage eindigt met een cortisone-injectie in de slijmbeurs. Cortisone remt snel de ontsteking en vermindert de pijn.
Dat verklaart waarom veel patiënten zich al na een paar dagen beter voelen. Het werkelijke resultaat van de barbotage zelf is pas na enkele maanden te beoordelen.
De meerderheid van de patiënten ervaart verbetering na een barbotage, met name in de eerste maanden. Wel heeft een aanzienlijk deel meer dan één behandeling nodig. Dat is niet vooraf te voorspellen. Daarom beginnen we altijd met één behandeling en beoordelen we het resultaat na 12 weken op de echo.
Houd rekening met napijn in de eerste dagen na de behandeling. Uw schouder is de achtergebleven kalkresten aan het opruimen. Dit is een normaal onderdeel van het herstelproces en verdwijnt vanzelf. Neem paracetamol als de pijn hinderlijk is.
Gun uzelf de tijd. De pees heeft maanden nodig om volledig te herstellen. Vermijd de eerste weken handelingen boven schouderhoogte en forceer niet.
Wetenschappelijk onderzoek laat zien dat barbotage op de korte termijn consistent pijnvermindering geeft. Op de lange termijn, na 5 jaar of meer, zijn de verschillen met een cortisone-injectie alléén kleiner dan verwacht.
Een grote Scandinavische studie concludeerde zelfs dat het effect van barbotage grotendeels verklaard wordt door de cortisone die altijd onderdeel is van de behandeling.
Wat betekent dit voor u? Een barbotage pakt de oorzaak aan door de kalk te verwijderen. Dat onderscheidt het van een cortisone-injectie, die alleen de pijn dempt.
Maar verwacht geen wondermiddel. Bij de juiste patiënt, met de juiste kalk op de echo, zien wij goede resultaten. We bespreken dit altijd eerlijk tijdens het consult.
Barbotage en cortisone-injectie worden allebei gebruikt bij kalk in de schouder. Maar ze werken anders en dienen een ander doel.
Een cortisone-injectie remt de ontsteking in de slijmbeurs. De pijn vermindert snel, soms al binnen een paar dagen. Maar de kalk blijft zitten. Bij veel patiënten komen de klachten na verloop van tijd terug.
Een barbotage verwijdert de kalk. Dat pakt de oorzaak aan. Maar het herstel duurt langer en er blijven altijd kalkresten achter die een tijdelijke ontsteking kunnen onderhouden.
De klachten zijn relatief recent en de pijn is hevig. Snel verlichting is het eerste doel. De kalk op de echo is diffuus verspreid of zo hard dat spoelen weinig zin heeft. Er zijn factoren aanwezig die het herstel na een barbotage bemoeilijken, zoals roken of kalk in beide schouders. Of er is nog nooit een cortisone-injectie gegeven en het is zinvol om dat eerst te proberen.
Een of meerdere cortisone-injecties hebben onvoldoende of tijdelijk effect gehad. De kalk op de echo is geschikt om te verwijderen: zachte of halfharde kalk met een duidelijke kern en voldoende begrenzing om druk op te kunnen bouwen. De klachten zijn langdurig en de patiënt is bereid rekening te houden met een herstelperiode van meerdere maanden.
Ja. Elke barbotage eindigt standaard met een cortisone-injectie in de slijmbeurs. De cortisone dempt de ontsteking die ontstaat doordat kalkdeeltjes tijdens de procedure in de slijmbeurs terechtkomen. De twee behandelingen sluiten elkaar dus niet uit, ze vullen elkaar aan.
Een grote Scandinavische studie vergeleek barbotage met een cortisone-injectie en met een nep-behandeling. Op de lange termijn was er geen significant verschil tussen de groepen. De onderzoekers concludeerden dat het effect van barbotage voor een groot deel verklaard wordt door de cortisone die standaard onderdeel is van de behandeling.
Dat betekent niet dat barbotage zinloos is. Het verwijderen van kalk pakt de oorzaak aan. Maar het onderstreept dat een cortisone-injectie alléén soms net zo effectief is, en dat de keuze voor barbotage weloverwogen moet zijn.
Last van kalk in de schouder? Tendinitis Calcarea?
Laten we kijken of een barbotage u kan helpen
Maak een afspraak bij Orthozorg
Zo werkt het:
Vergoed vanuit de basisverzekering. Geen eigen bijdrage, wel eigen risico.
De behandeling duurt ongeveer 10 minuten.
Inclusief verdoving en de cortisone-injectie aan het eind. U kunt daarna gewoon naar huis.
Reken in totaal op ongeveer een half uur in de behandelkamer.
De voorbereiding en het in beeld brengen van de kalk kost ook tijd.
Een barbotage kan twee tot drie keer herhaald worden. Ongeveer 30% van de patiënten heeft meer dan één behandeling nodig voor een goed resultaat.
Of een tweede barbotage zinvol is, beoordelen we op de controle-echo. Is de kalk kleiner geworden en heeft u minder klachten? \
Dan kan een vervolg zinvol zijn. Is er geen verschil? Dan adviseren we een andere behandeling.
Voorwaarde is wel dat er nog kalk is die zich laat wegspoelen. Bij zachte of harde kalk kan dat. Bij diffuus verspreide kalk heeft herhalen weinig zin.
Ja, dat mag gewoon. Bij een barbotage verdoven we de huid en de slijmbeurs, geen zenuwen.
Het is niet veel anders dan na een gewone injectie.
Bent u er wat zenuwachtig voor? Regel dan voor de zekerheid vervoer naar huis.
De napijn duurt enkele dagen tot twee weken. Het werkelijke herstel van de pees duurt maanden.
De eerste dagen na de behandeling voelt u zich vaak al beter door de cortisone.
Maar de pees waarin de kalk zat heeft tijd nodig om te herstellen.
Reken op 3 tot 6 maanden voordat de schouder weer volledig belastbaar is.
Slingeroefeningen kunt u direct doen. Die houden de schouder soepel.
Spierversterkende oefeningen pas later, als de pees voldoende hersteld is.
Een fysiotherapeut kan u begeleiden bij de opbouw.
Vraag uw behandelaar wanneer het juiste moment is om te starten.
Een cortisone-injectie bestrijdt de pijn. Een barbotage verwijdert de kalk.
Cortisone remt de ontsteking in de slijmbeurs en geeft snel verlichting. Maar het pakt de oorzaak niet aan.
De kalk blijft zitten. Een barbotage verwijdert de kalk, maar het herstel duurt langer en er blijven altijd kalkresten achter.
Wij beginnen meestal met cortisone. Helpt dat onvoldoende of komen de klachten steeds terug? Dan is een barbotage de volgende stap.
Bij ongeveer de helft van de patiënten heeft shockwave effect.
De geluidsgolven kunnen de kalk afbreken en het herstelproces stimuleren.
Shockwave is minder invasief dan een barbotage en wordt uitgevoerd door een fysiotherapeut.
Het is een goede optie om eerst te proberen. Helpt het onvoldoende? Dan is een barbotage of cortisone-injectie de volgende stap.
Een operatie komt in beeld als meerdere barbotages en injecties onvoldoende helpen.
Bij een kijkoperatie wordt de kalk verwijderd en de ontstoken slijmbeurs weggehaald.
Soms wordt ook bot onder het schouderdak weggefreesd om meer ruimte te maken.
Tegenwoordig is een operatie voor kalk zelden nodig.
Lees meer op onze pagina neerplastiek.
Ja. Een barbotage valt onder de basisverzekering.
U heeft een verwijzing orthopedie nodig van uw huisarts. Het eigen risico is van toepassing.
Orthozorg levert niet-gecontracteerde zorg. Mocht u niet alles vergoed krijgen, dan neemt Orthozorg het verschil voor zijn rekening.
U betaalt nooit bij, behalve uw eigen risico.
